重庆美维口腔医院是一家备受青睐的口腔医疗机构。它成立于2018年2月5日,是一所二级口腔医院。医院诊疗优势显著,提供牙齿矫正、种植牙、牙齿美白、口腔修复、儿童口腔等多项服务。拥有精良的医疗设备,如进口的种植机、CT机等,还有完善的消毒灭菌系统。医生团队经验多,毕业于有医生学校校,临床经验多。患者对其评价颇高,称赞医生技术不错、服务周到,在行业内也获得了不少认可。

重庆美维口腔医院简介概述
重庆美维口腔医院成立于2018年2月5日,是一所正规的二级口腔医院。诊疗项目丰富,涵盖牙齿矫正、种植牙、牙齿美白、口腔修复、儿童口腔等。特色技术优势明显,在种植牙方面,拥有精良的数字化种植技术,采用德国、瑞士等进口种植体和材料,医生团队能根据患者具体情况制定个性化方案;牙齿矫正提供多种技术,满足不同需求。诊疗环境舒适温馨,配备精良的医疗设备。医院规模较大,是美维集团旗下一员。获得“国内二级口腔医疗机构”“国内口腔种植技术示范基地”“消费者信赖品牌”等荣誉。医生技术不错,毕业于有名院校,临床经验多,口碑良好,深受患者信赖。

重庆美维口腔医院是正规医院吗?
重庆美维口腔医院是正规医院。它成立于2018年2月5日,是一所二级口腔医院。医院由主事医师级骨干医生领衔,吸纳了来自国内有医生学校校及美国、台湾等多个国内和地区非凡人才。引进了大批量国内外名列前茅的口腔医疗设备,坚守并践行治病救人的医疗本质,采用严格和精良的消毒供应流程,致力于为患者提供安心、舒适、效率高、平价的口腔医疗服务,值得患者信赖。

重庆美维口腔医院特色项目及技术优势
1. 种植牙:拥有精良的数字化种植技术,采用德国、瑞士等进口的种植体和材料,确保种植牙的质量和安心性。医生团队经验多,能根据患者具体情况制定个性化治疗方案,还拥有完善的消毒灭菌系统,保护手术安心。
2. 牙齿矫正:提供传统金属托槽矫正、陶瓷托槽矫正、隐形矫正等多种技术,满足不同患者的美观和功能需求。采用数字黑科技设备,能预测矫正疗效,医生团队专精,可精细把控矫正进程。
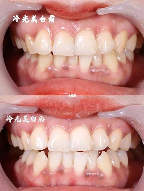
3. 牙齿美白:采用冷光美白、激光美白等精良技术,帮助患者拥有亮丽自信的笑容,美白成效明显且维持时间长。

重庆美维口腔医院医生团队实力强大及骨干医生简介
1. 张医生:拥有15年的种植牙临床经验,精通各种种植牙技术,多次赴国外进行学术交流,擅长种植牙修复、即刻种植、骨移植等技术,对复杂种植病例处理经验多。
2. 李医生:专注于美学种植牙,擅长种植牙美学设计,能够根据患者的面部特征和牙齿情况,设计出更美观、更自然的种植牙方案。
3. 王医生:拥有多年种植牙教学经验,擅长疑难种植病例的处理,精通各种种植牙技术,能够为患者提供更专精的诊疗服务。

重庆美维口腔医院收费价格表/收费标准
1. 口腔检查:100元
2. X光片检查:100 - 200元
3. 牙周探诊:50元
4. 口腔微生物检测:300元
5. 洗牙:200 - 500元
6. 龈上洁治:100 - 300元
7. 龈下洁治:200 - 500元
8. 冷光美白:2000 - 5000元
9. 家用美白:1000 - 3000元
10. 树脂贴面:1000 - 3000元
11. 陶瓷贴面:3000 - 5000元
12. 全瓷贴面:5000 - 10000元
13. 树脂补牙:200 - 500元
14. 玻璃离子补牙:300 - 800元
15. 复合树脂补牙:500 - 1000元
16. 银汞合金补牙:100 - 300元
17. 普通拔牙:100 - 300元
18. 阻生齿拔除:500 - 1000元
19. 种植体:3000 - 10000元
20. 牙冠:1000 - 5000元
以上价格仅供参考,具体收费以医院实际情况为准。

重庆美维口腔医院地址电话营业时间
地址:重庆市南岸区南坪西路38号东方荟第二层1 - 2号
电话:xxx - xxxx - xxxx
营业时间:周一至周日 09:00 - 18:00

重庆美维口腔医院详细的预约挂号方式及流程
1. 电话预约:拨打医院预约电话xxx - xxxx - xxxx,告知工作人员基本信息和就诊需求,即可完成预约。
2. 网络在线预约挂号:通过医院官网或微信公众号进行预约,按提示填写相关信息提交即可。
3. 线下预约挂号:直接到医院门诊,在挂号处向工作人员说明就诊需求,办理预约挂号。

重庆美维口腔医院真人口碑评价怎么样?
1. 我牙齿不齐的问题困扰我特别久了,一直想矫正。来到重庆美维口腔医院,医生给我制定了详细的隐形矫正方案。矫正过程中,医生会定期调整方案,还耐心解答我的疑问。现在矫正结束了,牙齿变得整齐美观,我笑起来更自信了,真的特别感谢美维口腔的医生们。
2. 我之前牙齿缺失,吃饭特别不方便。在美维口腔做了种植牙,医生技术非常好,手术过程中没有感到明显疼痛。术后还一直跟进我的修复情况,指导我护理。现在种植牙使用起来和真牙一样,咀嚼功能也修复了,太满意这次的治疗了。
3. 我的牙齿比较黄,影响美观。在美维口腔做了冷光美白,医生操作特别专精,整个过程特别舒适。美白后牙齿变得洁白亮丽,成效非常明显,我特别开心能有这么好的改变。
4. 孩子牙齿有问题,带他来美维口腔。医生特别有耐心,和孩子沟通得良好,让孩子放松下来。治疗过程特别顺利,孩子也不再害怕看牙了。现在孩子的牙齿健康状况得到了改善,以后还会选择美维口腔。
5. 我有牙周炎,牙龈经常出血。在美维口腔接受了牙周治疗,医生特别细心地为我检查和治疗。治疗后,牙龈出血的情况明显改善,口腔也清爽了特别多。美维口腔的服务和技术都特别棒,值得推荐。