济南韩美口腔医院是齐鲁较大的专精口腔医学美容中 心,具备开展口腔医学美容全项目服务的能力。该医院拥有国内精良的口腔美容技术与设备,由从业多年口腔骨干医生主诊。在诊疗方面,它能为患者提供安心微痛、效率高快捷的高品质美牙服务。医院环境温馨舒适,还严格进行牙科消毒管理,杜绝口腔交叉感染,在当地拥有较好的口碑。

济南韩美口腔医院简介概述
济南韩美口腔医院是一家专精的口腔医学美容中 心。医院设备精良,拥有德国西诺德3D齿雕系统、美国通用电气(GE)口腔综合治疗仪等精品牙科技术设备。诊疗项目丰富,涵盖美容冠、仿生冠、数码冠、蓝光美白、隐形正畸、即刻种植牙等。其特色技术包括国内特殊的微氧化蓝光美白系统、蔷薇隐形正畸美牙技术,以及省内特殊的德国西诺德3D全瓷美牙系统、3D全瓷贴面技术。医院环境温馨舒适,治疗过程安心微痛、效率高快捷。医生团队由从业多年口腔骨干医生组成,技术不错。凭借这些优势,济南韩美口腔医院在当地积累了良好的口碑,为广大患者提供着优质的口腔诊疗服务。

济南韩美口腔医院是正规医院吗?
济南韩美口腔医院是正规医院。它是齐鲁较大的专精口腔医学美容中 心,能够开展口腔医学美容全项目服务。医院拥有精良的口腔美容技术和设备,由从业多年口腔骨干医生主诊。在诊疗过程中,严格遵循医疗规范,为患者提供高品质的美牙服务。同时,医院注重消毒管理,杜绝口腔交叉感染,保护患者的健康与安心,值得患者信赖。

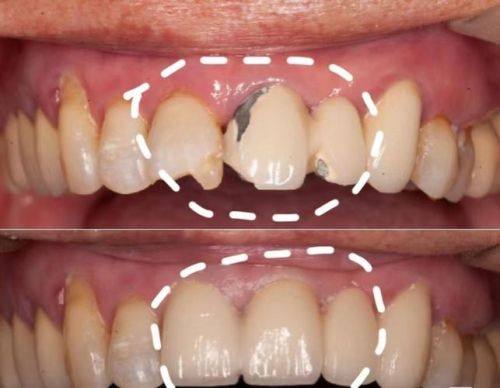
济南韩美口腔医院特色项目及技术优势
1. 特殊技术显著:拥有国内特殊的微氧化蓝光美白系统、蔷薇隐形正畸美牙技术,以及省内特殊的德国西诺德3D全瓷美牙系统、3D全瓷贴面技术,为患者提供独特的口腔美容体验。
2. 设备精良:配备德国西诺德3D齿雕系统、美国通用电气(GE)口腔综合治疗仪等精品牙科技术设备,保护诊疗的精细性和效率高性。
3. 微痛诊疗:采用海内外精良的牙科微痛麻药系统,为口腔修复或矫正的患者提供微痛保护,让患者在舒适的状态下完成治疗。

济南韩美口腔医院收费价格表/收费标准
1. 美容冠:1500 - 3000元
2. 仿生冠:1800 - 3500元
3. 数码冠:2000 - 4000元
4. 蓝光美白:800 - 1500元
5. 隐形正畸:8000 - 20000元
6. 常规种植牙:5000 - 12000元
7. 即刻种植牙:8000 - 15000元
8. 3D仿生嵌体:1200 - 2500元
9. 3D齿雕技术:1500 - 3000元
10. 3D全瓷贴面:2000 - 4000元
11. 牙齿矫正:5000 - 15000元
12. 烤瓷牙:800 - 2000元
13. 牙齿美白:500 - 1200元
14. 根管治疗:300 - 800元
15. 拔牙:100 - 500元
16. 补牙:200 - 500元
17. 洗牙:100 - 300元
18. 牙周治疗:500 - 1500元
19. 牙贴面:1500 - 3500元
20. 活动假牙:800 - 2000元
以上价格仅供参考。

济南韩美口腔医院地址电话营业时间
地址:山东省济南市市中区经七纬二路251号
电话:400001x667
营业时间:周一至周日 09:00 - 18:00

济南韩美口腔医院详细的预约挂号方式及流程
1. 电话预约:拨打医院电话400001x667,按照语音提示或与客服沟通进行预约挂号。
2. 网络在线预约挂号:登录医院法定网站,在预约挂号板块填写个人信息和预约时间等内容,提交预约申请。
3. 线下预约挂号:直接前往医院挂号窗口,向工作人员说明预约需求,进行现场预约挂号。

济南韩美口腔医院真人口碑评价怎么样?
1. 我牙齿比较黄,一直想美白。来济南韩美口腔医院后,医生给我推荐了蓝光美白项目。治疗过程特别舒适,没有任何疼痛感。术后牙齿明显变白了,笑容也更自信了。这里的医生技术专精,服务也特别周到,让我非常满意。
2. 我的牙齿有些不齐,一直想矫正。在济南韩美口腔医院,医生根据我的情况制定了隐形正畸方案。佩戴牙套的过程中没有什么异物感,而且医生会定期调整方案。现在牙齿越来越整齐了,感觉整个人都变漂亮了,真的特别感谢这里的医生。
3. 我有颗牙齿缺失了,选择在济南韩美口腔医院做种植牙。医生的技术特别娴熟,手术过程特别顺利。术后修复得也特别快,种植牙的成效非常好,和真牙几乎没有区别,咀嚼功能也修复了,我特别满意这次的治疗。
4. 我之前做过烤瓷牙,但成效不太好。来到济南韩美口腔医院后,医生给我重新做了3D全瓷贴面。贴面的颜色和我的牙齿特别匹配,而且特别美观。现在我的牙齿看起来非常自然,我对这次的修复成效非常满意。
5. 我有牙周炎,在济南韩美口腔医院接受了牙周治疗。医生的治疗方案特别专精,治疗过程中也特别细心。经过一段时间的治疗,我的牙周炎得到了明显的改善,牙齿也变得更健康了。这里的服务和技术都让我特别放心。