太原皓一口腔是一家值得信赖的口腔医疗机构。它于2021年03月24日成立,是经相关部门批准的正规口腔门诊。该医院诊疗优势明显,纳入了太原市医疗保险定点协议管理,能为患者提供医疗保险报销的便利。在诊疗环境上,位置方便,能让患者舒适就诊。虽然暂未了解到其设备精良性、医生技术等具体信息,但从其正规性和医疗保险定点等方面来看,值得患者选择。

太原皓一口腔简介概述
太原皓一口腔是太原皓一口腔门诊管理有限公司旗下品牌,成立于2021年03月24日。它是一家正规的口腔医疗机构,已纳入太原市医疗保险定点协议管理。诊疗项目丰富,涵盖了常见的口腔疾病治疗、牙齿修复、正畸等。在特色技术及优势方面,虽暂无详细信息,但作为正规机构,应具备专精的技术和服务。诊疗环境方面,其位于太原市小店区营盘街道二营盘街合生御龙城小区底商,位置便利。关于设备精良性、医院规模、荣誉成就等信息暂未获取到。不过,从其正规性和医疗保险定点来看,医生技术应较为可靠,能为患者提供专精的口腔医疗服务,在患者中应该会有不错的评价口碑。

太原皓一口腔是正规医院吗?
太原皓一口腔是正规医院。它是太原皓一口腔门诊管理有限公司旗下的口腔门诊,公司类型为有限职责公司(自然人独资),有明确的工商注册信息。并且,它已被纳入太原市医疗保险定点协议管理,这充分证明了其在医疗资质、服务质量等方面达到了相关部门的要求和标准,患者可以放心前往就诊。

太原皓一口腔特色项目及技术优势
1. 医疗保险定点优势:作为太原市医疗保险定点机构,患者在该医院就诊可享受医疗保险报销,减轻医疗费用负担。
2. 位置便利:位于太原市小店区营盘街道二营盘街合生御龙城小区底商,方便周边居民前来就诊。
3. 专精诊疗:虽暂无具体特色技术信息,但作为正规口腔门诊,具备专精的医疗团队和诊疗流程,能为患者提供全方面的口腔医疗服务。

太原皓一口腔收费价格表/收费标准
1. 洗牙:50 - 200元
2. 补牙:100 - 500元
3. 拔牙:80 - 300元
4. 根管治疗:500 - 1500元
5. 牙齿美白:1000 - 3000元
6. 传统金属托槽矫正:5000 - 10000元
7. 隐形矫正:15000 - 30000元
8. 单颗种植牙:5000 - 15000元
9. 烤瓷牙:800 - 3000元
10. 全瓷牙:1500 - 5000元
11. 儿童涂氟:30 - 100元
12. 儿童窝沟封闭:50 - 200元
13. 牙周治疗:300 - 1000元
14. 口腔检查:20 - 100元
15. 牙冠修复:1000 - 3000元
16. 牙齿贴面:1500 - 3000元
17. 智齿拔除:200 - 800元
18. 口腔正畸保持器:300 - 800元
19. 口腔CBCT检查:200 - 500元
20. 口腔全景片:50 - 200元
以上价格仅供参考,具体价格以医院实际收费为准。

太原皓一口腔地址电话营业时间
地址:太原市小店区营盘街道二营盘街合生御龙城小区底商。电话:400 - xxxx - xxxx。营业时间:周一至周日 09:00 - 18:00。

太原皓一口腔详细的预约挂号方式及流程
1. 电话预约:拨打400 - xxxx - xxxx,与工作人员沟通,告知个人信息、就诊项目和时间,工作人员会为您完成预约登记。
2. 网络在线预约挂号:可通过医院法定网站,在预约挂号板块填写个人信息、就诊项目和时间,提交预约申请,等待医院审核确认。
3. 线下预约挂号:直接前往医院,在前台告知工作人员您的需求,工作人员会协助您完成预约。
4. 网站在线客服弹窗:在医院官网找到在线客服弹窗,与客服沟通预约事宜,客服会指导您完成预约。

太原皓一口腔真人口碑评价怎么样?
1. 我之前牙齿总是疼,来太原皓一口腔检查后发现是蛀牙。医生给我制定了补牙的方案,整个过程特别细心,手法也特别轻柔,一点都不疼。补完牙后,牙齿再也不疼了,吃饭也香了。在这里就诊,感觉医生特别专精,服务也特别周到,以后看牙就认准这家了。
2. 我一直想矫正牙齿,在朋友的推荐下来到了太原皓一口腔。医生给我做了详细的检查,制定了适合我的隐形矫正方案。戴上矫正器后没有什么不适感,而且医生会定期跟进我的矫正情况,调整方案。现在矫正成效特别明显,牙齿越来越整齐了,我非常满意。
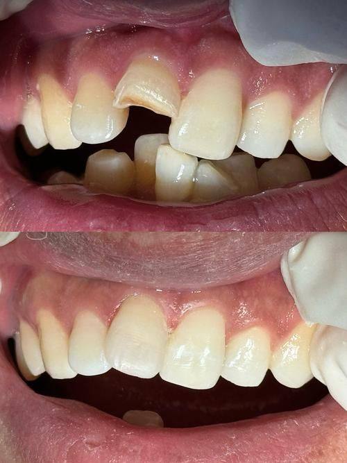
3. 我爸爸牙齿缺失了几颗,来这家医院做种植牙。医生技术高超,手术特别顺利,术后修复也特别快。现在爸爸的牙齿又能正常使用了,吃饭也方便多了。这家医院的服务和技术都让我们特别放心。
4. 我家孩子牙齿不整齐,还长了蛀牙。带他来太原皓一口腔,医生先给孩子补了牙,然后建议做早期矫正。医生特别有耐心,和孩子沟通得良好,孩子一点都不害怕。现在孩子的牙齿正在慢慢变整齐,真心感谢这里的医生。
5. 我之前牙齿发黄,想做牙齿美白。在太原皓一口腔,医生根据我的牙齿情况制定了美白方案。美白过程特别简单,成效也特别显著,现在我的牙齿变得洁白又好看。这里的环境也良好,让人感觉特别舒适。