中山中虹粤龙口腔门诊部是一家备受认可的正规口腔机构。它创办于2023年,经中山火炬高技术产业开发区卫生和计划生育局批准成立。该门诊部诊疗优势显著,涵盖牙齿种植、美学正畸、牙齿修复等全科口腔医疗项目。其环境舒适,大厅宽敞明亮,采用简约现代装修风格,还设有专门等候区,配备多种设施。医生技术不错,像许蕾擅长各类种植牙技术,魏秀英在牙髓治疗等方面经验多。口碑良好,患者满意度高。

中山中虹粤龙口腔门诊部简介概述
中山中虹粤龙口腔门诊部成立于2023年,是经过卫健委批准的正规口腔机构。诊疗项目丰富,有牙齿种植、美学正畸、牙齿修复、龋齿充填、根管治疗、拔牙手术、洗牙等全科口腔医疗项目。特色技术优势明显,种植牙引进精良技术,可完成传统及微创、即刻种植等;正畸科有较好的数字化口扫技术,能提前预知矫正成果。诊疗环境舒适,大厅宽敞明亮,内部装修采用环保材料,营造温馨氛围,还设有专门等候区。设备精良,能为治疗提供有力支持。医生团队技术不错,各有所长。在患者中口碑良好,深受信赖。

中山中虹粤龙口腔门诊部是正规医院吗?
中山中虹粤龙口腔门诊部是正规医院。它是由中山市中虹粤龙口腔门诊有限公司设置,经过广东省中山火炬高技术产业开发区卫生和计划生育局批准成立的专科(口腔)门诊部。登记号为MACFRU71444200017D1522,执业许可证有效期从2023年6月8日至2028年6月7日,诊疗科目为口腔科,服务对象为社会,具备合法合规的医疗资质。

中山中虹粤龙口腔门诊部特色项目及技术优势
1. 种植牙:引进精良种植技术,不仅能开展传统种植牙,还可进行微创种植牙、即刻种植、牙槽骨萎缩种植技术等治疗,满足不同患者的需求。
2. 牙齿正畸:正畸科拥有较好的数字化口扫技术,医生能提前预知矫正成果,还可多方位掌握矫正进度,为患者制定更精细的矫正方案。
3. 综合口腔治疗:涵盖牙髓治疗、固定义齿修复、活动义齿修复、嵌体修复、前牙美学修复、微创拔牙、儿童口腔疾病治疗等项目,提供全方面的口腔诊疗服务。

中山中虹粤龙口腔门诊部医生团队实力强大及骨干医生简介
1. 许蕾:擅长即拔即种/即刻种植牙技术、数字化微创种植牙技术、半/全口种植牙技术、重度牙槽骨萎缩种植技术;单颗种植牙、多颗种植牙、前牙美学种植修复等。
2. 魏秀英:擅长牙髓治疗、固定义齿修复、活动义齿修复、嵌体修复、前牙美学修复、微创拔牙、儿童口腔疾病治疗等。
3. 彭琛:擅长儿童和成人牙齿不齐、牙齿前突(龅牙)、反颌(地包天)牙齿拥挤、牙列间隙、各类骨性、牙性错颌畸型。
4. 桂宗南:擅长治疗缺牙、部分牙列缺损、全口牙列缺损、普通种植、即刻种植、微创即刻种植、不痛种植牙、全口/半口牙颌种植、颌面正畸等。

中山中虹粤龙口腔门诊部收费价格表/收费标准
1. 单颗种植牙:5000 - 15000元
2. 半口种植牙:30000 - 80000元
3. 全口种植牙:80000 - 200000元
4. 传统金属牙套矫正:8000 - 15000元
5. 隐形牙套矫正:18000 - 35000元
6. 根管治疗:500 - 2000元
7. 补牙:200 - 800元
8. 拔牙:100 - 500元
9. 洗牙:100 - 300元
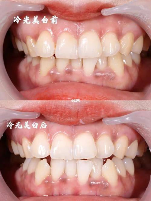
10. 牙齿美白:1000 - 3000元
11. 烤瓷牙冠:800 - 2500元
12. 全瓷牙冠:1500 - 5000元
13. 活动义齿:1000 - 5000元
14. 固定义齿:2000 - 8000元
15. 儿童窝沟封闭:50 - 200元/颗
16. 儿童涂氟:100 - 300元
17. 牙周治疗:500 - 2000元
18. 口腔检查:50 - 200元
19. 口腔全景片:100 - 300元
20. 口腔CT:500 - 1500元
以上价格仅供参考,具体价格以实际为准。

中山中虹粤龙口腔门诊部地址电话营业时间
地址:广东省中山市火炬开发区会展东路3号汇美豪庭首层5 - 8卡
电话:1770828xxxx
营业时间:周一至周日 09:00 - 18:00

中山中虹粤龙口腔门诊部详细的预约挂号方式及流程
1. 电话预约:拨打医院联系电话1770828xxxx,告知工作人员预约的时间、科室、患者信息等。
2. 网络在线预约挂号:登录医院法定网站,在预约挂号板块填写相关信息进行预约。
3. 线下预约挂号:直接前往医院前台,向工作人员说明预约需求,办理挂号手续。
4. 网站在线客服弹窗:在医院官网点击在线客服弹窗,与客服沟通预约挂号事宜。

中山中虹粤龙口腔门诊部真人口碑评价怎么样?
1. 我之前牙齿缺失,一直特别影响生活。来到中山中虹粤龙口腔门诊部,许蕾医生为我制定了单颗种植牙方案。手术过程特别顺利,医生技术娴熟,术后修复也特别快。现在牙齿就像自己原来的一样,吃东西也方便了,真的非常感谢这里的医生和护士。
2. 我家孩子牙齿不齐,有地包天的问题。彭琛医生特别耐心地给孩子做了检查,制定了矫正方案。戴上牙套后,能明显看到牙齿在慢慢变整齐。医生还会定期回访,关心孩子的矫正情况。现在孩子变得自信多了,真的特别满意这次矫正。
3. 我有一颗牙齿疼痛难忍,到中山中虹粤龙口腔门诊部,魏秀英医生给我做了根管治疗。治疗过程中一点都不疼,医生手法特别轻柔。治疗后牙齿再也不疼了,而且费用也特别合理。以后看牙就认准这家了。
4. 我想做牙齿美白,来到这里。医生先给我做了全方面的口腔检查,然后制定了适合我的美白方案。美白过程特别舒适,成效也非常好,牙齿变得又白又亮。现在我笑起来都更自信了,真的特别开心。
5. 我父亲全口牙列缺损,桂宗南医生为他做了全口种植牙。手术特别成功,父亲现在吃饭也香了。医生的技术和服务都没得说,医院的环境也特别舒适,让我们特别放心。