荆门大众楚星万昌口腔门诊是一家值得信赖的口腔医疗机构。它成立于2016年3月28日,前身为钟祥楚星万昌口腔门诊,2020年与武汉爱尚大众口腔医疗集团合作,共同打造湖北省大型口腔连锁品牌。门诊位于钟祥市王府大道万昌广场一楼,面积200多平方米,设有种植治疗室、普通诊室等5个专精诊室,配备5台牙椅。这里拥有专精的口腔医生团队,重点打造了种植和矫正项目。在当地口碑非常好,以规范和亲民的形象赢得了市民的信任。

荆门大众楚星万昌口腔门诊简介概述
荆门大众楚星万昌口腔门诊成立于2016年3月28日,前身为钟祥楚星万昌口腔门诊,2020年与武汉爱尚大众口腔医疗集团合作,共同打造湖北省大型口腔连锁品牌。该门诊是在卫健委官网可查、资质齐全的正规口腔医疗机构。诊疗项目丰富,重点打造种植和矫正项目。门诊拥有专精的口腔医生团队,技术实力强。诊疗环境舒适,位于钟祥市王府大道万昌广场一楼,面积200多平方米,设有种植治疗室、普通诊室等5个专精诊室,配备5台牙椅。凭借多元化的服务项目和实力强的技术,正逐步成为钟祥市民身边的一站式口腔健康管家,在当地口碑良好。

荆门大众楚星万昌口腔门诊是正规医院吗?
荆门大众楚星万昌口腔门诊是正规医院。它成立于2016年3月28日,2020年与武汉爱尚大众口腔医疗集团合作,共同打造湖北省大型口腔连锁品牌。该门诊在卫健委官网可查,资质齐全,经营范围包括口腔科医疗服务,医学检验科、医学影像科等。其规范的运营和专精的服务,赢得了当地市民的信任和良好口碑。

荆门大众楚星万昌口腔门诊特色项目及技术优势
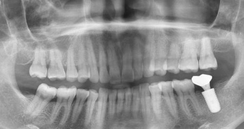
1. 种植项目:拥有专精的种植医生团队,能根据患者的具体情况制定个性化的种植方案,采用精良的种植技术,确保种植成效稳定、美观。
2. 矫正项目:医生具备丰富的矫正经验,可开展多种矫正方式,如传统金属矫正、隐形矫正等,帮助患者改善牙齿排列问题。
3. 诊疗环境与设备:门诊设有种植治疗室、普通诊室等5个专精诊室,配备5台牙椅,为患者提供舒适的诊疗环境和精良的设备支持。

荆门大众楚星万昌口腔门诊收费价格表/收费标准
1. 牙齿种植:5000 - 15000元
2. 牙齿矫正:8000 - 30000元
3. 烤瓷牙:800 - 3000元
4. 全瓷牙:1500 - 5000元
5. 牙齿美白:1000 - 3000元
6. 根管治疗:500 - 2000元
7. 补牙:200 - 800元
8. 拔牙:100 - 500元
9. 洗牙:100 - 300元
10. 儿童窝沟封闭:100 - 300元
11. 儿童涂氟:50 - 200元
12. 牙周治疗:500 - 2000元
13. 口腔检查:50 - 200元
14. 口腔全景片:100 - 300元
15. 种植牙修复:2000 - 8000元
16. 活动假牙:500 - 3000元
17. 固定假牙:1000 - 5000元
18. 正畸保持器:500 - 1500元
19. 牙齿贴面:1000 - 5000元
20. 口腔清洁护理套餐:300 - 800元
以上价格仅供参考。

荆门大众楚星万昌口腔门诊地址电话营业时间
地址:钟祥市王府大道28号万昌中央广场F1层
电话:400 - 02x - 1018
营业时间:周一至周日 09:00 - 18:00

荆门大众楚星万昌口腔门诊详细的预约挂号方式及流程
1. 电话预约:拨打400 - 02x - 1018,告知工作人员预约的项目和时间。
2. 网络在线预约挂号:登录医院法定网站,在预约挂号板块填写个人信息和预约项目。
3. 线下预约挂号:直接前往门诊,在前台进行预约挂号。

荆门大众楚星万昌口腔门诊真人口碑评价怎么样?
1. 我之前牙齿缺失,一直特别影响美观和饮食。来到荆门大众楚星万昌口腔门诊后,医生为我制定了详细的种植方案。手术过程特别顺利,医生技术不错,术后修复也特别快。现在种植牙使用起来和真牙一样,非常满意。
2. 我的牙齿排列不整齐,一直想矫正。在这家门诊,医生根据我的牙齿情况推荐了隐形矫正。佩戴过程中特别舒适,而且不影响美观。经过一段时间的矫正,牙齿变得整齐了,整个人的魅力都提升了。
3. 我有龋齿,经常疼痛。到门诊后,医生特别快就帮我进行了补牙。补牙过程中没有任何不适,医生手法特别轻柔。现在牙齿不疼了,感觉真好。
4. 孩子的牙齿有缝隙,在这里做了牙齿修复。医生特别有耐心,和孩子沟通得良好。修复后牙齿变得美观了,孩子也更自信了。
5. 我来这里洗牙,医生操作特别专精,洗完后牙齿干净了特别多,而且还告知了我特别多口腔护理的知识。以后还会选择这家门诊。