上海山景口腔门诊部是一家值得信赖的口腔医疗机构。它成立于2006年3月17日,是经徐汇区卫生健康委员会审批的正规民营口腔机构,持有《医疗机构执业许可证》。该门诊部诊疗优势显著,在种植牙领域表现突出,尤其擅长复杂病例。配备了CBCT机、全景机、iTero口内扫描仪、激光治疗仪等数字化诊疗设备,能实现精细诊断和个性化方案设计。医生团队以陈俊龙博士为首,海外专精医生及国内有名骨干医生众多,治疗前会详细讲解流程,注重个性化设计,术中操作细致,在患者中口碑良好。

上海山景口腔门诊部简介概述
上海山景口腔门诊部成立于2006年3月17日,是一家经徐汇区卫生健康委员会审批的正规民营口腔机构,持有《医疗机构执业许可证》。诊疗项目全方面,涵盖种植牙、牙齿矫正、儿童齿科、牙齿美白与修复、牙周治疗、根管治疗、拔牙等基础治疗与急诊服务。特色技术方面,作为DII国内外种植中 心的分部,在种植牙领域优势明显,尤其擅长复杂病例,还引进了微创陈氏五合一种植牙等专项技术。诊疗环境舒适,配备了CBCT机、全景机、iTero口内扫描仪、激光治疗仪等数字化诊疗设备,可实现精细诊断和个性化方案设计。门诊部规模虽不算大,但医生团队实力强,以陈俊龙博士为首的专精医生注重个性化设计和操作细致度,在患者中口碑颇佳。

上海山景口腔门诊部是正规医院吗?
上海山景口腔门诊部是正规医院。它成立于2006年3月17日,是一家个人独资企业。该门诊部持有《医疗机构执业许可证》,其经营范围涵盖口腔内科、口腔颌面外科、正畸、修复、预防保健及医学影像科X线诊断业务。这些都充分证明了它的正规性,患者可以放心前往就诊。

上海山景口腔门诊部特色项目及技术优势
1. 种植牙领域优势突出,尤其擅长复杂病例,如骨量不足、全口/半口种植,能为患者提供有效的解决方案。
2. 引进了微创陈氏五合一种植牙等专项技术,减少患者痛苦,提高种植成功几率。
3. 配备了CBCT机、全景机、iTero口内扫描仪、激光治疗仪等数字化诊疗设备,实现精细诊断和个性化方案设计。

上海山景口腔门诊部收费价格表/收费标准
1. 韩国种植牙套餐:4999元/颗起
2. 瑞士SIC种植牙:14999元/颗起(含全瓷牙冠)
3. 传统金属托槽矫正:6800元起
4. 隐形矫正:价格面议
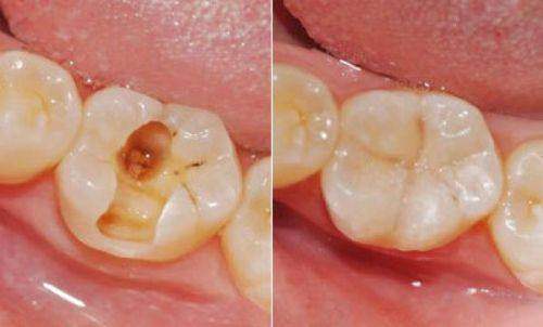
5. 儿童补牙:148元起
6. 冷光美白:1659元起
7. 皓齿美白:4219元起
8. 爱尔创二氧化锆全瓷牙:2500元/颗起
9. 美国皓圣种植牙:8000元起一颗 (包含全瓷牙)
10. 日本TOMY陶瓷自锁托槽矫正:22000元起
11. 美国damon CLEAR陶瓷自锁:28000元起
12. 时代天使异性矫正:25000元起
13. 瑞士ITI活动价:12800元/颗起(含进口全瓷牙冠)
14. 舌侧矫正:6万元起
15. allon4半口种植牙:4.8万元起
16. 全线种植牙首颗50%
17. 微笑公式矫正:14999元起
18. 隐适美:50000元起
19. 个性化舌侧矫正:60000元起
20. 牙齿美白套餐(多种技术组合):3000 - 5000元
以上价格仅供参考,实际价格以医院为准。

上海山景口腔门诊部地址电话营业时间
地址:上海市徐汇区天钥桥路386号临一层、三层
电话:1752x1722x7
营业时间:周一至周日09:00 - 18:00

上海山景口腔门诊部详细的预约挂号方式及流程
1. 电话预约:拨打门诊部电话1752x1722x7,与工作人员沟通预约时间和项目。
2. 网络在线预约挂号:通过门诊部法定网站进行在线预约,填写个人信息和预约需求。
3. 线下预约挂号:直接前往门诊部,在前台进行预约挂号。

上海山景口腔门诊部真人口碑评价怎么样?
1. 我之前牙齿缺失,一直特别苦恼。来到上海山景口腔门诊部后,医生详细了解了我的情况,为我制定了种植牙方案。手术过程中,医生操作特别细致,没有什么疼痛感。术后修复得也良好,现在牙齿使用起来和真牙一样,非常感谢山景口腔的医生们。
2. 我家孩子牙齿不整齐,我带他来山景口腔做矫正。医生特别有耐心,给孩子做了全方面的检查,制定了合适的矫正方案。孩子在矫正过程中没有感到不适,而且医生会定期跟进调整。现在孩子牙齿越来越整齐了,我们对成效特别满意。
3. 我一直想美白牙齿,朋友推荐我来山景口腔。医生给我介绍了冷光美白技术,整个过程特别舒适。美白后牙齿明显变白了,成效特别自然。这里的服务也良好,医生和护士都特别热情。
4. 我的牙齿有牙周问题,来山景口腔治疗。医生采用了精良的激光牙周治疗技术,治疗成效显著。治疗后牙齿不再疼痛,牙周状况也得到了改善。医生还教给我特别多口腔护理知识,让我更加注重口腔健康。
5. 我在山景口腔做了根管治疗,医生技术不错,操作熟练。治疗过程中没有让我感到太多痛苦,术后牙齿也没有出现不适。这里的环境干净整洁,让人感觉特别安心。