尤旦口腔医院(宝山店)是一家值得信赖的口腔医疗机构。它是上海地区拥有10多年历史的口腔连锁品牌旗下分院,属于口腔专科医院级别。该医院诊疗优势显著,提供拔牙、补牙、种植牙、牙齿矫正等多项服务。医院环境整洁,设备精良,能为患者提供舒适的就诊体验。医生团队技术不错,像谢波院长擅长种植牙、口腔美学修复等项目,操作细致温柔;蔡中医生是口腔医学博导,擅长各类牙颌畸形矫正等。在患者中口碑良好,深受大家好评。

尤旦口腔医院(宝山店)简介概述
尤旦口腔医院(宝山店)是上海地区有着10多年历史的口腔连锁品牌分院,是正规的口腔专科医院。诊疗项目丰富,涵盖拔牙、补牙、种植牙、牙齿矫正、镶牙烤瓷牙全瓷牙、全口牙等。特色技术及优势明显,医生团队技术实力强,如谢波院长擅长种植牙、口腔美学修复等,操作细致;蔡中医生是口腔医学博导,擅长牙颌畸形矫正等。诊疗环境舒适整洁,设备精良,能为患者提供优质的服务。医院规模较大,在上海多个城区都有分院。凭借良好的技术和服务,在患者中获得了较高的评价和口碑。

尤旦口腔医院(宝山店)是正规医院吗?
尤旦口腔医院(宝山店)是正规医院。它是上海地区有名的口腔连锁品牌旗下分院,具备专精的医疗资质。医院拥有经验多、技术不错的医生团队,为患者提供多种口腔诊疗服务。诊疗过程规范,环境设备精良,严格遵循相关医疗标准和规定,致力于为患者提供安心、有效的口腔治疗,在当地患者中拥有良好的口碑。

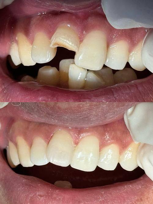
尤旦口腔医院(宝山店)特色项目及技术优势
1. 种植牙技术:医生经验多,能够根据患者的具体情况选择合适的种植方案,操作精细,术后成效好。
2. 牙齿矫正:拥有多种矫正方式可供选择,医生会根据患者牙齿情况制定个性化的矫正方案,技术成熟。
3. 口腔美学修复:注重牙齿的美观与功能结合,能够为患者打造自然美观的牙齿。

尤旦口腔医院(宝山店)医生团队实力强大及骨干医生简介
1. 谢波院长:擅长种植牙、口腔美学修复、各种埋伏牙、智齿拔除等项目,操作细致温柔,深受患者好评。
2. 蔡中医生:来自上海有名的口腔医学博导,从医近30年。擅长各类牙颌畸形矫正、正畸正颌联合治疗、少拔牙矫治技术。

尤旦口腔医院(宝山店)收费价格表/收费标准
1. 超声波洁牙:150 - 500元
2. 纳米树脂补牙:300 - 1200元/颗
3. 儿童单颗窝沟封闭:120 - 300元
4. 智齿拔除:500 - 2000元/颗
5. 根管治疗:800 - 2500元/颗
6. 牙冠修复:1200 - 5000元/颗
7. 牙齿美白:1200 - 2000元
8. 国产自锁托槽矫正:12000 - 18000元
9. 半隐形陶瓷自锁托槽矫正:18000 - 22000元
10. 正雅全隐形矫正:16000 - 25000元
11. 时代天使隐形矫正:20000 - 35000元
12. 隐适美隐形矫正:30000 - 50000元
13. 韩国仕诺康种植牙:3500 - 6000元
14. 韩国奥齿泰种植牙:4000 - 6500元
15. 美国皓圣种植牙:5800 - 11000元
16. 瑞士iti种植牙:11000 - 18000元
17. 上颌常规智齿拔除:450元/颗起
18. 下颌常规智齿拔除:650元/颗起
19. 下颌水平阻生智齿拔除:1500元/颗起
20. 冷光美白:1500元起
以上价格仅供参考。

尤旦口腔医院(宝山店)地址电话营业时间
地址:上海市宝山区场中路4098弄38号
电话:400 - x68 - 350
营业时间:周一至周日 09:00 - 20:00

尤旦口腔医院(宝山店)详细的预约挂号方式及流程
1. 电话预约:拨打医院电话400 - x68 - 350,告知工作人员预约信息。
2. 网络在线预约挂号:登录医院法定网站,在相关页面进行预约挂号。
3. 线下预约挂号:直接前往医院挂号窗口,向工作人员说明预约需求。
4. 网站在线客服弹窗:在医院官网与在线客服沟通,进行预约挂号。

尤旦口腔医院(宝山店)真人口碑评价怎么样?
1. 我牙齿参差不齐特别久了,一直想矫正。来到尤旦口腔医院(宝山店),医生详细给我分析了牙齿情况,制定了适合我的矫正方案。矫正过程中,医生和护士都特别负责,会定期询问我的感受。现在矫正成效非常好,牙齿变得整齐美观,我特别满意。
2. 我有颗智齿经常疼,就来这家医院拔牙。医生技术特别娴熟,拔牙过程特别快,也没有特别疼。术后还细心告知我注意事项,修复得也特别快,真的特别不错。
3. 我牙齿缺失了一颗,选择了在这里种植牙。医生根据我的情况选择了合适的种植体,手术特别成功。现在种植牙使用起来和真牙一样,非常感谢医生。
4. 我来做牙齿美白,医生给我介绍了不同的美白方式,我选择了适合自己的。美白后牙齿变得特别白,成效特别明显,整个过程也特别舒适。
5. 我补牙的时候,医生检查得特别仔细,确定牙洞情况后才开始补牙。补牙材料选择也给我解释得特别清楚,价格透明。补完牙后牙齿也没有不适感,体验良好。