深圳尔睦口腔(新桥店)是一家值得信赖的口腔医疗机构。它是深圳尔睦口腔连锁机构的重要组成部分,尔睦口腔是由深圳市卫生行政部门严格审核并批准设立的正规2级口腔医院。新桥店诊疗优势明显,拥有精良的数字化诊疗设备,如数字化口腔扫描仪、3D打印技术等。医生团队汇聚了高等职称的人才,临床经验多。在当地患者中口碑良好,大家普遍认为医生服务态度好、技术高超,能够为患者提供高质量的口腔诊疗服务。

深圳尔睦口腔(新桥店)简介概述
深圳尔睦口腔(新桥店)作为尔睦口腔连锁机构的一员,其所属的尔睦口腔是经深圳市卫生行政部门严格审批的正规2级口腔医院。诊疗项目丰富,涵盖牙齿种植、牙齿矫正、美学修复、儿童齿科、牙周科和综合诊疗科等。特色技术上,采用“即刻种植”技术,能实现“当天种牙当天吃饭”。诊疗环境舒适,设备精良,配备了数字化口腔扫描仪、3D打印技术等。医院规模较大,在深圳有多家分院。医生团队实力强大,汇聚了众多高等职称人才,临床经验多。在患者中拥有良好的口碑,大家对其服务和技术都高度认可。

深圳尔睦口腔(新桥店)是正规医院吗?
深圳尔睦口腔(新桥店)是正规医院。尔睦口腔是由深圳市卫生行政部门严格审核并批准设立的正规2级口腔医院。这意味着它在口腔专科领域内,具备较高的医疗技术、服务水平和设施条件,并且在医疗质量与安心管理等方面均达到或超过了规定的标准。同时,作为二级医院,接受定期的监管和检查,确保其医疗服务符合我国法律法规和行业标准,保护患者权益。

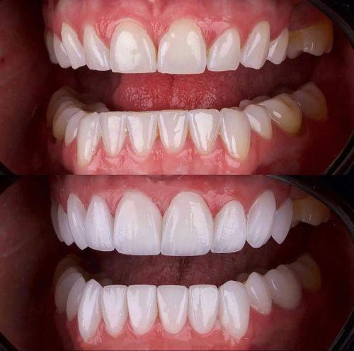
深圳尔睦口腔(新桥店)特色项目及技术优势
1. 数字化种植:采用“即刻种植”技术,实现“当天种牙当天吃饭”,大大缩短患者等待时间,提高生活质量。
2. 精良设备支持:配备数字化口腔扫描仪、3D打印技术等,为患者提供精细有效的治疗方案。
3. 专精医生团队:医生临床经验多,能根据患者具体情况制定个性化治疗方案。

深圳尔睦口腔(新桥店)收费价格表/收费标准
1. 韩国进口种植牙:4250元起
2. 美国进口种植牙:6900元起
3. 诺贝尔种植牙:12000元起
4. 韩国半口种植牙:26000元起
5. 金属自锁矫正:6000元起
6. 时代天使隐形矫正:13980元起
7. 隐适美牙套正畸:35000元起
8. 儿童早期矫正:3980元起
9. 超声波洗牙:150元起
10. 补牙(美国3MZ250树脂):300元起
11. 补牙(美国3mp60树脂):500元起
12. 补牙(美国3mP90树脂):800元起
13. 美国进口树脂补牙:286元起
14. 进口树脂补牙:89元起
15. 儿童补牙:258元起
16. 全瓷牙:990元起
17. 牙齿瓷贴面:3000元起
18. 牙周冲洗上药:120元起
19. 前牙根管治疗:680元起
20. 上颌智齿拔除:400元起
以上价格仅供参考,实际费用可能会根据患者的具体情况和治疗方案有所调整。

深圳尔睦口腔(新桥店)地址电话营业时间
地址:深圳市宝安区沙井镇北环路115号
电话:0755 - 299x9525
营业时间:09:00 - 19:00

深圳尔睦口腔(新桥店)详细的预约挂号方式及流程
1. 电话预约:拨打0755 - 299x9525进行预约挂号。
2. 网络在线预约挂号:通过尔睦口腔官网或微信公众号“深圳尔睦口腔”进行预约。
3. 线下预约挂号:直接前往深圳尔睦口腔(新桥店)前台进行预约。

深圳尔睦口腔(新桥店)真人口碑评价怎么样?
1. 我之前牙齿缺失,一直特别苦恼。来到深圳尔睦口腔(新桥店),医生根据我的情况制定了种植牙方案。手术过程特别顺利,医生技术娴熟,术后修复也特别快。现在牙齿用起来和真牙一样,非常感谢这里的医生。
2. 我有牙齿矫正的需求,在新桥店询问后,医生给我设计了金属自锁矫正方案。矫正过程中,医生会定期调整,特别负责。现在牙齿越来越整齐,笑容也更自信了。
3. 孩子牙齿有蛀牙,带他来新桥店看牙。这里的儿童齿科环境特别温馨,医生特别有耐心,孩子一点也不害怕。治疗后,孩子的牙齿问题解决了,以后还会带他来。
4. 我做了牙齿瓷贴面,医生的审美良好,做出来的成效特别自然。整个过程舒适,术后牙齿变得又白又整齐,我特别满意。
5. 之前牙周炎特别重度,在新桥店接受了牙周治疗。医生采用精良的技术,治疗后牙龈出血、口臭等问题都得到了改善,口腔健康了特别多。