西宁市城东区铭佳口腔是一家备受好评的正规口腔医疗机构。它在当地拥有较高的有名度,为众多患者解决了口腔问题。医院诊疗项目齐全,涵盖口内、口外、种植、正畸等多个领域。拥有经验多、技术扎实的医疗团队,医生会根据不同患者的牙齿情况定制个性化治疗方案。医院还配备了不错的设备,营造了舒适的诊疗环境,让患者在就诊过程中感到安心。在价格方面,也较为透明合理,没有隐形消费,赢得了患者的良好口碑。

西宁市城东区铭佳口腔简介概述
西宁市城东区铭佳口腔是一家正规的口腔医疗机构。自成立以来,一直致力于为当地市民提供高品质的口腔医疗服务。诊疗项目十分齐全,包括镶牙、补牙、种植牙、牙齿矫正等多方位的口腔治疗服务,能满足不同患者的需求。在特色技术及优势方面,医生会根据患者的牙齿畸形情况量齿定制矫正方案,在牙齿矫正领域,推荐传统矫正和隐形矫正两种方式,传统矫正性价比高,隐形矫正则是当下流行之选。医院注重患者的就医体验,诊疗环境温馨舒适。同时,拥有可靠的口腔医疗设备,为治疗提供了有力保护。其医生团队均具备正规资质,经过严格的培训和实践,技术优质、经验充足。凭借良好的服务和合理的价格,赢得了患者的广泛好评。

西宁市城东区铭佳口腔是正规医院吗?
西宁市城东区铭佳口腔是正规医院。它拥有完善的医疗设施和专精的医疗团队,医生团队均具备正规资质,并经过严格的培训和实践。医院提供多方位的口腔医疗服务,从基础治疗到复杂手术都能开展。在诊疗过程中,严格遵循医疗规范,为患者提供高品质、个性化的口腔治疗服务。其价格透明合理,没有隐形消费,在当地积累了良好的口碑,值得患者信赖。

西宁市城东区铭佳口腔特色项目及技术优势
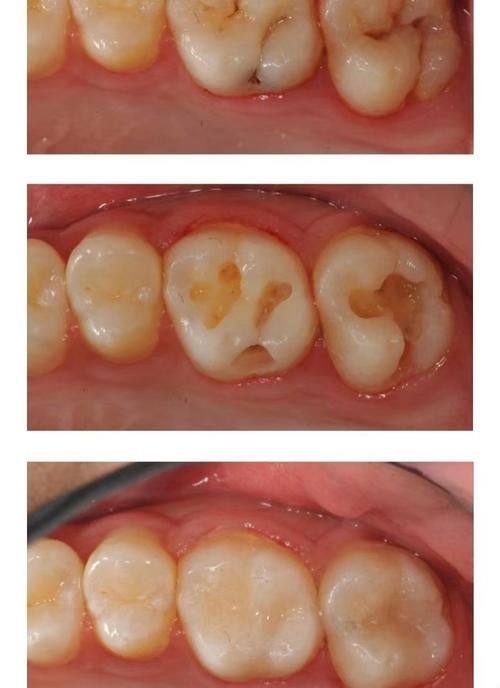
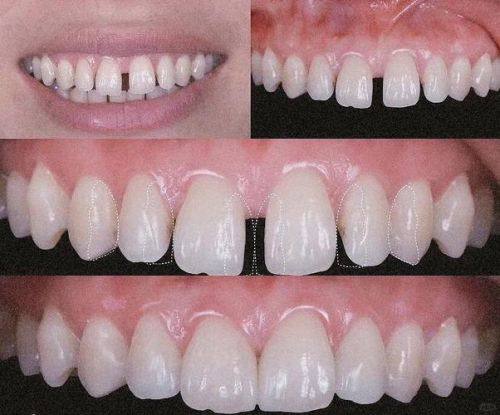
1. 诊疗项目齐全:提供镶牙、补牙、种植牙、牙齿矫正等多方位的口腔治疗服务,满足不同患者的需求。
2. 个性化治疗:医生会根据患者的牙齿情况,如牙齿畸形情况、牙齿缺失情况等,定制适合的治疗方案,确保治疗成效。
3. 矫正方式多样:在牙齿矫正方面,主要推荐传统矫正和隐形矫正两种方式。传统矫正性价比高,价格在8000元左右;隐形矫正是当下流行的牙套,时代天使隐形矫正收费15000元左右。

西宁市城东区铭佳口腔收费价格表/收费标准
1. 传统矫正:8000元左右
2. 时代天使隐形矫正:15000元左右
3. 韩国登腾种植牙:4800元左右
4. 上颌正位萌出智齿拔除:399元左右
5. 下颌正位萌出智齿拔除:599元左右
6. 上颌阻生智齿拔除:800元左右
7. 下颌阻生智齿拔除:900元左右
8. 高位垂直阻生智齿拔除:1200元左右
9. 近中阻生智齿拔除:450元左右
10. 高难度阻生智齿拔除:2000元左右
11. 爱尔创全瓷冠:1800元左右
12. 威兰德全瓷冠:5500元左右
13. 补牙:200 - 500元
14. 拔牙:100 - 300元
15. 洗牙:100 - 300元
16. 牙齿美白:1000 - 3000元
17. 牙贴面:2000 - 5000元
18. 根管治疗:500 - 1500元
19. 牙周治疗:800 - 2000元
20. 儿童龋齿治疗:100 - 300元
以上价格仅供参考。

西宁市城东区铭佳口腔地址电话营业时间
地址:青海省西宁市城东区东川工业园区金汇路1号。电话:176x925x228。营业时间:周一至周日 09:00 - 18:00。

西宁市城东区铭佳口腔详细的预约挂号方式及流程
1. 电话预约:拨打医院电话176x925x228,告知工作人员您的需求和预约时间。
2. 网络在线预约挂号:登录医院法定网站,在预约挂号板块填写个人信息和预约事项。
3. 线下预约挂号:直接前往医院,在前台告知工作人员您要预约的项目和时间。

西宁市城东区铭佳口腔真人口碑评价怎么样?
1. 我之前牙齿排列不整齐,一直想矫正。来到铭佳口腔后,医生给我做了详细的检查,制定了传统矫正的方案。矫正过程中,医生会定期调整牙套,还会耐心解答我的疑问。现在矫正成效非常好,牙齿变得整齐了,我也更自信了。在这里看牙,感觉特别专精、特别放心。
2. 我有颗智齿经常发炎,疼得厉害。在铭佳口腔拔牙时,医生技术特别娴熟,打麻药的时候也不怎么疼。拔牙过程特别顺利,术后修复也快,几乎没有什么不适。而且价格也合理,性价比特别高。
3. 我想做种植牙,对比了几家医院后选择了铭佳口腔。医生根据我的牙齿缺失情况,为我制定了合适的种植方案。种植过程中,设备精良,医生操作规范。现在种植牙使用起来特别自然,和真牙没什么区别,非常满意这次的治疗。
4. 孩子牙齿有龋齿,带他来铭佳口腔治疗。医生特别有耐心,和孩子沟通得良好,孩子一点也不害怕。治疗后,孩子的牙齿问题解决了,还学会了正确的刷牙方法。这里的服务特别贴心,以后还会带孩子来。
5. 我做了牙齿美白,医生先给我做了口腔检查,然后制定了美白方案。美白过程中没有不适感,成效特别明显,牙齿变白了特别多。医生还叮嘱了我一些注意事项,服务特别周到。我特别推荐这家口腔医院。