浙江温州乐清欣雅口腔是一家值得信赖的口腔专科机构。该医院成立于2013年05月29日,是经温州市鹿城区卫生健康局正式批准成立的正规口腔专科机构。诊疗优势显著,主打隐形矫正,技术成熟,矫正过程舒适度高。医院环境温馨,还拥有纤维根管治疗仪、进口种植机、水激光治疗仪、口腔CT扫描等精良设备。医生技术专精,能为患者提供全方面的口腔治疗服务。在患者中口碑良好,深受当地群众认可。

浙江温州乐清欣雅口腔简介概述
浙江温州乐清欣雅口腔门诊部成立于2013年05月29日,是一家正规的口腔专科机构。其诊疗项目丰富,涵盖牙齿矫正、种植牙、补牙、洗牙、根管治疗等。特色技术方面,主打隐形矫正,技术成熟,能让患者在舒适的过程中完成矫正。诊疗环境温馨舒适,为患者营造了良好的就医氛围。医院配备了纤维根管治疗仪、进口种植机、水激光治疗仪、口腔CT扫描等精良设备,保护了诊疗的精细性和效率高性。医院规模虽未明确,但人员规模少于50人。在患者中拥有良好的口碑评价,深受当地群众的信赖。

浙江温州乐清欣雅口腔是正规医院吗?
浙江温州乐清欣雅口腔是正规医院。它由温州市鹿城区卫生健康局正式批准成立,具有合法的经营资质。医院经营范围包括许可项目医疗服务,且经过相关部门审批。此外,医院还取得了辐射安心许可证,如乐清市城东翔云东路欣雅口腔门诊部于2025年12月1日获得了有效期至2030年11月30日的辐射安心许可证,这也从侧面证明了其正规性和规范性。

浙江温州乐清欣雅口腔特色项目及技术优势
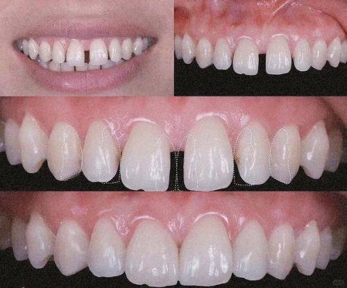
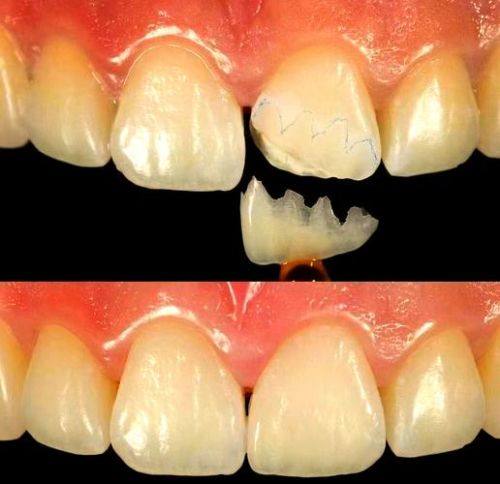
1. 隐形矫正:技术成熟,矫正过程舒适度高,适合注重隐私和舒适度的患者。
2. 精良设备:拥有纤维根管治疗仪、进口种植机、水激光治疗仪、口腔CT扫描等,能为诊疗提供精细的数据和效率高的治疗手段。
3. 个性化服务:医生会根据患者的具体情况制定个性化的治疗方案,确保治疗成效。

浙江温州乐清欣雅口腔收费价格表/收费标准
1. 普通洗牙:100 - 300元
2. 超声波洗牙:200 - 500元
3. 补牙:200 - 800元
4. 根管治疗:500 - 2000元
5. 烤瓷牙:800 - 3000元
6. 全瓷牙:1500 - 5000元
7. 种植牙:3000 - 20000元
8. 牙齿美白:1000 - 3000元
9. 牙齿矫正(传统):5000 - 15000元
10. 牙齿矫正(隐形):15000 - 30000元
11. 儿童涂氟:100 - 300元
12. 儿童窝沟封闭:100 - 500元
13. 拔牙:100 - 500元
14. 智齿拔除:300 - 1500元
15. 牙周治疗:500 - 2000元
16. 口腔检查:50 - 200元
17. 口腔全景片:100 - 300元
18. 口腔CT:300 - 800元
19. 牙齿贴面:1000 - 5000元
20. 活动假牙:500 - 3000元
以上价格仅供参考,具体价格以医院实际收费为准。

浙江温州乐清欣雅口腔地址电话营业时间
地址:乐清市乐成街道环城东路295 - 297号;乐清市城东街道翔云东路188号海上明月花园11、12幢208室。电话:15x887x9880 。营业时间:周一至周日 09:00 - 18:00。

浙江温州乐清欣雅口腔详细的预约挂号方式及流程
1. 电话预约:拨打医院电话15x887x9880进行预约。
2. 网络在线预约挂号:通过医院法定网站进行在线预约。
3. 线下预约挂号:直接前往医院前台进行预约挂号。

浙江温州乐清欣雅口腔真人口碑评价怎么样?
1. 我之前牙齿排列不整齐,一直想矫正。来到乐清欣雅口腔后,医生给我制定了详细的隐形矫正方案。矫正过程中没有什么不适感,而且医生会定期跟进我的矫正情况。现在矫正成效非常好,牙齿变得整齐美观,我特别满意。
2. 我有一颗牙齿坏了,需要补牙。在乐清欣雅口腔,医生检查后特别快就给我补好了牙。补牙过程中没有疼痛,补完后牙齿也特别坚固,和真牙没什么区别,体验特别棒。
3. 我想做种植牙,对比了特别多家口腔医院,末尾选择了乐清欣雅口腔。医生技术特别专精,种植过程特别顺利。术后修复也特别快,现在种植牙使用起来非常方便,就像自己的真牙一样。
4. 我去乐清欣雅口腔洗牙,医生操作特别熟练,洗得特别干净。洗牙过程中还会给我讲解口腔护理知识,服务非常贴心。洗完牙后感觉牙齿清爽了特别多,以后还会再来。
5. 孩子牙齿需要涂氟,带他来到乐清欣雅口腔。医生特别有耐心,孩子一点也不害怕。涂氟后医生还叮嘱了注意事项,感觉特别专精。孩子也说下次还来这里看牙。