陕西西安玮仑口腔是一家备受认可的口腔诊疗机构。该机构提供多项口腔诊疗项目,涵盖种植牙、正畸、根管治疗、拔牙、补牙等。其装修环境别具一格,格调高雅自然、简约大方,就诊环境整洁温馨。在诊疗方面,以新型技术和正规医疗团队出名,能为不同需求的顾客提供特色治疗方案。不少顾客反馈,这里环境舒适,院内布局合理,名气较大,在西安当地有较好的口碑。

陕西西安玮仑口腔简介概述
陕西西安玮仑口腔医疗管理有限公司成立于2020年09月17日,旗下的未央明光路口腔门诊部成立于2021年7月,是一家正规的口腔诊疗机构。该机构总面积694平方米,有7间诊室,其中含2间种植诊室。主要开展种植、正畸、口腔快速修复、当日修复等热门诊疗项目,还包括根管治疗、拔牙、补牙等基础项目。在技术上,以新型技术和专精的医疗团队为特色,如种植牙技术能通过人工种植体替代缺失牙,使其功能和美观与天然牙相当;正畸技术可通过矫正器精细调整牙齿位置。装修环境别具一格,高雅自然、简约大方,就诊环境整洁温馨。凭借良好的诊疗服务,在当地积累了不错的口碑。

陕西西安玮仑口腔是正规医院吗?
陕西西安玮仑口腔是正规的口腔诊疗机构。其所属的西安玮仑口腔医疗管理有限公司具有合法的经营资质,经营范围包括诊所服务、医疗服务等口腔诊疗相关业务。旗下的未央明光路口腔门诊部也经过相关部门审批,并且在2022年获得了网络医疗广告发布的批准。在诊疗过程中,该机构遵循相关医疗规范和标准,为患者提供专精、安心的口腔诊疗服务。

陕西西安玮仑口腔特色项目及技术优势
1. 种植牙:这是该口腔机构的重要服务项目。采用通过人工种植体替代缺失牙齿的方法,经过牙槽骨的融合后,再进行修复,使种植牙的功能和美观与天然牙齿相当。
2. 正畸:通过矫正器将牙齿位置进行精细调整。专精的医生团队会根据患者的具体情况制定个性化的矫正方案,帮助患者拥有整齐美观的牙齿。
3. 口腔快速修复及当日修复:能为患者提供效率高的修复服务,减少患者的就诊时间和等待周期,让患者尽快修复口腔功能和美观。

陕西西安玮仑口腔收费价格表/收费标准
1. 洁牙:100 - 300元
2. 补牙:200 - 800元
3. 拔牙:100 - 500元
4. 根管治疗:500 - 2000元
5. 传统金属正畸:5000 - 10000元
6. 陶瓷正畸:8000 - 15000元
7. 隐形正畸:15000 - 30000元
8. 单颗种植牙:5000 - 15000元
9. 全瓷牙冠:1000 - 3000元
10. 烤瓷牙冠:500 - 1500元
11. 牙齿美白:800 - 2000元
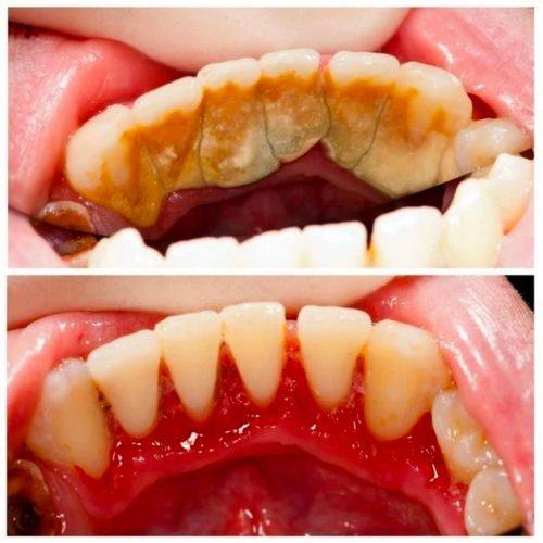
12. 牙周治疗:500 - 1500元
13. 儿童窝沟封闭:50 - 200元/颗
14. 儿童牙齿矫正:3000 - 8000元
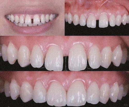
15. 牙齿贴面:1000 - 3000元/颗
16. 口腔检查:50 - 200元
17. 口腔CBCT:300 - 800元
18. 口腔全景片:100 - 300元
19. 活动假牙:500 - 2000元
20. 固定假牙:1000 - 5000元
以上价格区间仅供参考,实际收费可能因患者情况和治疗方案不同而有所差异。

陕西西安玮仑口腔地址电话营业时间
地址:陕西省西安市经济技术开发区凤城五路111号恒石国内外中 心C座1层F1013室
电话:132x980x988
营业时间:周一至周日 09:00 - 18:00

陕西西安玮仑口腔详细的预约挂号方式及流程
1. 电话预约:您可以拨打医院公布的联系电话132x980x988,按照语音提示或与工作人员沟通进行预约挂号。
2. 网络在线预约挂号:通过医院的法定网站,在相关预约挂号板块填写个人信息、选择就诊科室和时间等,提交预约申请。
3. 线下预约挂号:您可以直接前往医院的挂号窗口,向工作人员说明您要就诊的科室和时间,进行现场预约挂号。

陕西西安玮仑口腔真人口碑评价怎么样?
1. 我天生牙齿不齐,还有龅牙问题,侧面看凸嘴特别明显,一直特别影响我的自信。来到陕西西安玮仑口腔后,医生给我制定了陶瓷正畸方案。整个矫正过程特别顺利,医生会定期调整矫正器,还会耐心解答我的疑问。现在矫正快结束了,牙齿变得整齐美观,凸嘴问题也改善了特别多,拍照再也不用找角度了,自信了不少。真心感谢这里的医生。
2. 之前因为意外掉了一颗牙,吃饭特别不方便,形象也受影响。在陕西西安玮仑口腔做了种植牙,医生技术特别娴熟,术前检查特别仔细,还跟我详细讲解了种植牙的流程和注意事项。手术过程中没什么疼痛感,术后修复也特别快。现在种植牙用着和自己的真牙一样,美观又实用,非常满意这次的治疗。
3. 我的牙齿颜色偏黄,尝试过特别多美白方法都成效不佳。来到这家口腔机构后,医生推荐了冷光美白项目。治疗过程特别舒适,时间也不长。术后牙齿明显变白了好几个度,整个人的魅力都提升了。而且医生还告诉我一些日常护牙的小方法,真的特别贴心。
4. 孩子牙齿有龋齿,一直喊牙疼。带他到陕西西安玮仑口腔,医生特别有耐心,用温和的语气安抚孩子的情绪,治疗时动作也特别轻柔。补牙后孩子再也不喊疼了,而且医生还教给孩子正确的刷牙方法,让孩子养成良好的口腔卫生习惯。觉得这里对儿童患者特别友好。
5. 我有牙周炎,牙龈经常出血,口腔异味也特别重。在这里接受了系统的牙周治疗,医生根据我的病情制定了个性化的方案,治疗过程中特别细心。经过一段时间的治疗,牙龈出血的情况明显改善,口腔异味也消失了。现在我会定期来这里复查,维护口腔健康。特别感谢这里的医护人员。