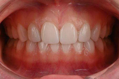
安徽渡江口腔医院合肥门诊部是一家值得信赖的口腔医疗机构。它创建于2023年7月,经蜀山区卫健委批准设立,是正规靠谱的。医院占地面积约1000平方米,拥有10 + 台进口牙椅,还获评JCI国内外认证医疗机构。诊疗优势显著,开展种植牙、牙齿矫正等多项目。环境舒适,设备精良,医生技术不错,像徐林副主事医师完成3000 + 例种植手术。在当地口碑良好,服务了蜀山街道及周边居民超万人次。

安徽渡江口腔医院合肥门诊部简介概述
安徽渡江口腔医院合肥门诊部成立于2023年7月,是经蜀山区卫健委批准设立的正规口腔医疗机构。诊疗项目丰富,涵盖镶牙种植牙、牙齿美白、牙周病治疗、牙齿矫正、儿牙、牙体牙髓等。特色技术优势明显,如微创即刻种植采用瑞士ITI种植系统,能当天戴牙;隐形矫正配备iTero口扫仪,缩短矫正周期;显微根管治疗使用德国蔡司显微镜,成功几率达95%。诊疗环境舒适,有儿童专区等。设备精良,拥有进口牙椅等。医院规模方面,面积约1000平方米,已服务超万人次。荣获JCI国内外认证。医生团队实力强,如徐林、杨乐继等经验多。在当地口碑颇佳,深受患者信赖。

安徽渡江口腔医院合肥门诊部是正规医院吗?
安徽渡江口腔医院合肥门诊部是正规医院。它经蜀山区卫生局审批,登记号为MA8QP5DP234010417D1522 。医院创建于2023年,是渡江口腔连锁品牌在合肥的初家门诊。还获评JCI国内外认证医疗机构(编号:AH2023 - 056),拥有完善的消毒标准,执行十六道灭菌流程,能为患者提供安心、可靠的口腔诊疗服务。

安徽渡江口腔医院合肥门诊部特色项目及技术优势
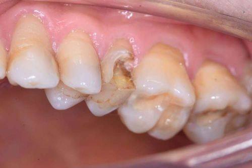
1. 微创即刻种植:采用瑞士ITI种植系统,可实现当天戴牙,价格区间为8000 - 20000元起/颗,立即预约还可享初诊检查礼包。
2. 隐形矫正:配备iTero口扫仪,能将矫正周期缩短30%,价格区间为15000 - 40000元起。
3. 显微根管治疗:使用德国蔡司显微镜,治疗成功几率达95%,价格区间为800 - 2000元起/颗。

安徽渡江口腔医院合肥门诊部医生团队实力强大及骨干医生简介
1. 徐林(副主事医师):完成3000 + 例种植手术,每周一、三、五全天坐诊,擅长口腔种植。
2. 杨乐继(正畸主治医师):拥有20年临床经验,矫正实例超500例,擅长牙齿矫正。
3. 许丹丹(牙周治疗师):患者满意度达98%,基础治疗费200元起,擅长牙周治疗。

安徽渡江口腔医院合肥门诊部收费价格表/收费标准
1. 微创即刻种植:8000 - 20000元/颗
2. 隐形矫正:15000 - 40000元
3. 显微根管治疗:800 - 2000元/颗
4. 补牙:100 - 500元/颗
5. 拔牙:200 - 800元/颗
6. 儿童龋齿治疗:300 - 800元
7. 烤瓷牙:1000 - 3000元/颗
8. 洗牙:100 - 300元
9. 儿童齿科检查:50 - 150元
10. 口腔检查:50 - 200元
11. 牙齿美白:1000 - 3000元
12. 牙周病治疗:500 - 2000元
13. 全瓷冠:1200 - 3000元/颗
14. 金属托槽矫正:5699 - 10000元
15. 吸附性义齿半口:未提及 - 15000元
16. 吸附性义齿全口:16000 - 28000元
17. 种植牙基台:1000 - 3000元/个
18. 牙冠:800 - 3000元/颗
19. 牙齿矫正保持器:500 - 1500元
20. 口腔全景片:100 - 300元
以上价格仅供参考,具体以实际诊疗方案为准。

安徽渡江口腔医院合肥门诊部地址电话营业时间
地址:合肥市蜀山区长江西路499号丰乐世纪公寓1幢112商铺。电话:400 - xxxx - 5799。营业时间:周一至周五 8:30 - 20:00,周六、周日 8:30 - 18:30。

安徽渡江口腔医院合肥门诊部详细的预约挂号方式及流程
1. 电话预约:拨打400 - xxxx - 5799,告知工作人员个人信息和就诊需求进行预约。
2. 网络在线预约挂号:登录医院官网,在预约挂号板块填写相关信息完成预约。
3. 线下预约挂号:工作日8:30 - 18:00直接到院登记预约。

安徽渡江口腔医院合肥门诊部真人口碑评价怎么样?
1. 我牙齿缺失特别久了,一直想种牙又怕踩坑。来渡江口腔医院合肥门诊部后,医生根据我的情况制定了微创即刻种植方案。手术过程特别顺利,当天就戴上了牙,现在用着特别好,感觉和自己的牙没区别,这里医生技术好,服务也贴心,真心推荐。
2. 我家孩子牙齿不整齐,来这做矫正。医生特别有耐心,用iTero口扫仪快速出了方案,还说能缩短矫正周期。现在孩子矫正一段时间了,成效特别明显,而且医院环境好,还有儿童专区,孩子特别喜欢来。
3. 我之前有牙周病,牙龈老是出血。在渡江口腔做了牙周治疗,许医生技术特别棒,治疗后牙龈不出血了,也不疼了。医院消毒特别严格,让人特别放心,以后看牙就认准这了。
4. 我想做牙齿美白,询问了特别多地方。来到这,医生特别专精,给我详细介绍了方案。美白后牙齿变白了特别多,成效超出我的预期,而且价格也合理,特别满意这次体验。
5. 我给孩子来补龋齿,医生操作特别细致,孩子说一点都不疼。医院的儿童齿科服务良好,孩子一点都不害怕。以后孩子看牙就选这了。