内蒙古包头佳洁一口腔门诊部是一家值得信赖的口腔医疗机构。该门诊部成立于2009年,位于包头市友谊大街与林荫路交叉口,交通便利。它是一家正规的民营口腔门诊部,诊疗项目丰富,涵盖烤瓷牙、活动义齿、拔牙、口腔颌面外科、牙齿矫正、洗牙和口腔预防保健等。诊所设施齐全,环境整洁,为患者创造了舒适的就医环境。医生团队技术娴熟,经验多,在牙周病治疗、牙髓病治疗等方面颇有造诣,深受社区居民的喜爱。

内蒙古包头佳洁一口腔门诊部简介概述
内蒙古包头佳洁一口腔门诊部成立于2009年,是一家正规的民营口腔门诊部。它集烤瓷牙、活动义齿、拔牙、口腔颌面外科、牙齿矫正、洗牙和口腔预防保健等多种诊疗项目为一体。该门诊部始终坚持以患者为中 心,提供高质量的口腔医疗服务。
在特色技术及优势方面,门诊部的医生团队技术娴熟,经验多,能够针对不同患者的口腔状况制定个性化的治疗方案。在牙周病治疗、牙髓病治疗等方面拥有丰富的经验。
诊疗环境上,诊所设施齐全,环境整洁,为患者创造了一个舒适的就医环境。同时,门诊部还拥有精良的医疗设备,保护了治疗的精细性和有效性。
该门诊部深受社区居民的喜爱,口碑良好,为包头市民的口腔健康提供了有力保护。

内蒙古包头佳洁一口腔门诊部是正规医院吗?
内蒙古包头佳洁一口腔门诊部是正规的口腔医疗机构。它在相关部门的审批下合法成立,具备开展口腔诊疗服务的资质。门诊部有完善的医疗设施和专精的医生团队,能够为患者提供安心、有效的口腔治疗服务。在多年的运营中,它凭借良好的口碑和专精的服务,赢得了患者的信任,在当地口腔医疗领域有着一定的影响力,患者可以放心前往就诊。

内蒙古包头佳洁一口腔门诊部特色项目及技术优势
1. 活动义齿:采用传统工艺结合现代材料,兼顾功能性与美观性,适合不同需求的患者。
2. 牙齿矫正:医生技术娴熟,能根据患者具体情况制定个性化矫正方案,有效改善牙齿不齐等问题。
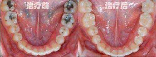
3. 牙周病治疗:拥有丰富的临床经验,针对不同程度的牙周病采取有效的治疗措施,保护口腔健康。

内蒙古包头佳洁一口腔门诊部收费价格表/收费标准
1. 活动义齿半口:1800元起
2. 活动义齿全口:2500元起
3. 烤瓷牙:800元起/颗
4. 拔牙:100元起
5. 洗牙:88元起
6. 补牙:200元起
7. 牙齿矫正:5000元起
8. 口腔颌面外科手术:3000元起
9. 口腔预防保健套餐:200元起
10. 儿童窝沟封闭:60元起
11. 儿童涂氟:60元起
12. 种植牙:5000元起/颗
13. 牙齿美白:1000元起
14. 根管治疗:500元起
15. 全瓷牙:1500元起/颗
16. 隐形矫正:15000元起
17. 超声波洗牙套餐:180元起
18. 口腔检查:50元起
19. 义齿修复:800元起
20. 牙周治疗:1000元起
以上价格仅供参考,实际价格可能因病情、材料等因素有所不同。

内蒙古包头佳洁一口腔门诊部地址电话营业时间
地址:包头友谊18#世家花园综合楼13 - 14号
电话:400 - xxxx - xxxx
营业时间:星期一至星期天全周营业

内蒙古包头佳洁一口腔门诊部详细的预约挂号方式及流程
1. 电话预约:拨打400 - xxxx - xxxx,联系前台工作人员说明口腔情况和就诊需求,完成预约挂号。
2. 网络在线预约挂号:通过医院法定网站进行在线预约,填写相关信息提交即可。
3. 网站在线客服弹窗:在医院官网点击在线客服弹窗,与客服沟通预约事宜。

内蒙古包头佳洁一口腔门诊部真人口碑评价怎么样?
1. 我之前牙齿特别不齐,一直想矫正。来到佳洁一口腔门诊部后,医生给我做了详细的检查,制定了个性化的矫正方案。矫正过程中,医生和护士都特别负责,会及时调整方案。现在矫正成效特别好,牙齿变得整齐美观,我特别满意。
2. 我有牙周病,牙齿经常疼痛。在佳洁一口腔门诊部治疗后,医生的技术特别厉害,治疗过程中没有什么痛苦。经过一段时间的治疗,牙周病得到了有效控制,牙齿也不疼了,真的太感谢这里的医生了。
3. 我镶了活动义齿,医生根据我的口腔情况进行了精细的调整。戴上义齿后,感觉特别舒适,咀嚼功能也修复得良好。而且价格也特别合理,性价比特别高。
4. 我带孩子来做窝沟封闭和涂氟,医生特别有耐心,用特别温和的方式和孩子沟通,孩子一点也不害怕。做完后,医生还叮嘱了注意事项,服务特别贴心。
5. 我之前牙齿有个洞,来这里补牙。医生补得特别精细,而且材料质量良好。现在牙齿一点问题都没有,感觉和原来的牙齿一样,佳洁一口腔门诊部真的值得信赖。