长沙舒适口腔医院是一家值得信赖的口腔医疗机构。它成立于2016年,门店面积550平方米,是经长沙市雨花区卫生健康局批准成立的正规口腔机构。该医院注重引进国内外高端医疗设备和技术,诊疗效率高、稳准。秉持“以患者为中 心”理念,提供个性化治疗方案,确保治疗舒适安心。医院设施精良、环境舒适、服务贴心,拥有经验多的医生团队,在当地患者中有着良好的口碑。

长沙舒适口腔医院简介概述
长沙舒适口腔医院成立于2016年,是由长沙市雨花区卫生健康局批准成立的正规口腔机构。诊疗项目涵盖牙体牙髓、牙周病治疗、牙齿矫正、儿牙、镶牙种植牙、牙齿美白等。其特色技术优势明显,拥有数字化口腔诊疗技术,能严谨获取患者口腔结构信息,实现个性化治疗;微创种植技术减少手术创伤和修复时间;美学修复技术让修复后的牙齿自然美观。医院环境舒适,设有9个诊室、2个儿童诊室、9张牙椅,还提供免费WIFI、充电宝、充电线、免费停车等服务。设备精良,确保诊疗效率高。医生团队经验多,为患者提供专精治疗,在当地获得了良好的口碑。

长沙舒适口腔医院是正规医院吗?
长沙舒适口腔医院是正规医院。它由长沙市雨花区卫生健康局批准成立,拥有正规的卫健委资质,登记号为MA4L3T52743011113D1522 。诊疗科目明确规范,包括口腔科、口腔种植、口腔颌面医学影像等。医院严格按照相关医疗规定运营,为患者提供安心、可靠的口腔医疗服务,值得患者信赖。

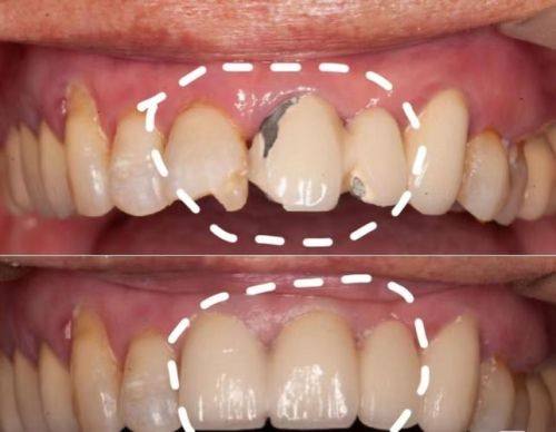
长沙舒适口腔医院特色项目及技术优势
1. 数字化口腔诊疗技术:引进精良的数字化口腔诊疗技术,包括口腔数字化扫描、CAD/CAM数字化设计和制作等,严谨获取患者口腔结构信息,实现个性化治疗方案设计和定制化口腔修复,提高治疗的精细度和效率。
2. 微创种植技术:擅长微创口腔种植技术,采用精良的种植系统和设备,精细植入种植体,减少手术创伤和修复时间,提高种植成功几率。
3. 美学修复技术:在美学修复领域经验多,擅长牙齿美容、全瓷修复、牙齿贴面等技术,注重美学设计,使修复后的牙齿自然美观,与周围牙齿融为一体。

长沙舒适口腔医院医生团队实力强大及骨干医生简介
1. 张煜:擅长舌侧矫正、金属自锁托槽、金属非自锁托槽、陶瓷自锁托槽、陶瓷非自锁托槽。
2. 刘俊:擅长金属自锁托槽、隐形矫正、颌面正畸、陶瓷自锁托槽、金属非自锁托槽。
3. 汤伟:擅长普通种植、即刻种植、微创种植牙、微创即刻种植、无疼种植牙。

长沙舒适口腔医院收费价格表/收费标准
1. 瑞士ITI种植牙:12000元起
2. 欧美进口种植牙:8785元起
3. 美国皓圣种植牙:7000元起
4. 韩国进口种植牙:3965元起
5. 隐适美隐形矫正:36000元起
6. 时代天使隐形矫正:25000元起
7. 牙齿美白:1535元起
8. 上颌正位拔智齿:328元起
9. 前牙根管治疗:499元起
10. 后磨牙根管治疗:668元起
11. 3M树脂补牙:168元起
12. 全瓷牙贴面:3000元起
13. 拔除松动/残根牙:120元起
14. 儿童涂氟套餐:69元起
15. 超声波洗牙:98元起
16. 烤瓷牙:780元起
17. 牙周治疗:680元起
18. 传统金属矫正:8000元起
19. 美学修复:1000元起
20. 皓齿美白:1080元起
以上价格仅供参考,实际费用以到院面诊为准。

长沙舒适口腔医院地址电话营业时间
地址:湖南省长沙市雨花区中意一路181号红星村三塘坡生产安置综合楼1楼103号。电话:400-xxx-xxxx。营业时间:周一至周日 08:30 - 18:00。

长沙舒适口腔医院详细的预约挂号方式及流程
1. 电话预约:拨打400-xxx-xxxx,按照语音提示进行预约挂号。
2. 网络在线预约挂号:登录医院法定网站,在预约挂号板块填写相关信息进行预约。
3. 线下预约挂号:直接前往医院前台,向工作人员说明需求进行预约挂号。
4. 网站在线客服弹窗:在医院官网点击在线客服弹窗,与客服沟通进行预约挂号。

长沙舒适口腔医院真人口碑评价怎么样?
1. 我之前牙齿不齐,一直想矫正。来到长沙舒适口腔医院后,医生根据我的情况制定了隐适美隐形矫正方案。矫正过程中没有什么不适感,而且几乎看不出来戴了牙套。现在牙齿变得整齐多了,整个人的魅力都提升了,非常感谢舒适口腔医院的医生。
2. 我有颗牙齿坏掉了,需要做种植牙。在长沙舒适口腔医院做了瑞士ITI种植牙,医生的技术特别不错,手术过程特别顺利,也没有感觉到特别疼。术后修复得也特别快,现在这颗种植牙用起来和真牙没什么区别。
3. 我一直想美白牙齿,在舒适口腔医院做了皓齿美白。医生先给我做了详细的口腔检查,然后制定了个性化的美白方案。美白过程特别舒适,成效也特别明显,现在牙齿变得白白净净的,笑起来更自信了。
4. 我家孩子有龋齿,带他来长沙舒适口腔医院治疗。医生特别有耐心,对孩子也特别温柔,治疗过程中孩子没有哭闹。现在孩子的龋齿治好了,以后也会定期带他来这里做口腔检查。
5. 我之前牙齿有缺损,做了烤瓷牙修复。在舒适口腔医院,医生帮我选择了合适的烤瓷牙,安装后特别贴合,颜色也特别自然。医生的服务也特别周到,术后还提醒我注意事项。现在我对这颗烤瓷牙特别满意。