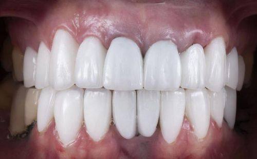
沭阳县张峰口腔是一家口碑良好、值得信赖的口腔医疗机构。它位于江苏省沭阳县华冲镇,已开设20年之久,是周边5个村子的“口腔定点”。该诊所设备精良且齐全,医生工作认真负责,技术娴熟,能为患者提供优质的医疗服务。其主打家庭式诊疗,尤其擅长老年全口修复与慢性牙病管理。在价格方面,透明合理,不会“看人下菜碟”,还支持乡镇报销,深受患者的广泛好评。

沭阳县张峰口腔简介概述
沭阳县张峰口腔位于沭阳县华冲镇,是一家历史悠久且信誉良好的口腔诊所。该诊所十分正规,于2025年4月11日获得了辐射安心许可证(苏环辐证[N0388]),可使用Ⅲ类射线装置。诊疗项目丰富,涵盖口腔保健、牙痛护理、牙齿矫正等一系列口腔相关服务。特色技术优势明显,主打家庭式诊疗,医生团队在老年全口修复与慢性牙病管理方面经验多,还能为糖尿病、高血压等慢病患者定制护牙计划。诊所诊疗环境舒适,采用暖黄色灯光营造温馨氛围,候诊区摆放绿植、播放轻音乐,缓解患者紧张情绪。设备精良且齐全,为患者提供了良好的就诊条件。在价格上,透明合理,性价比高,赢得了大量患者的喜爱和认可。

沭阳县张峰口腔是正规医院吗?
沭阳县张峰口腔是一家正规的口腔诊所。它位于沭阳县华冲镇,已经营多年,是周边5个村子的“口腔定点”。并且在2025年4月11日,该诊所获得了由市生态环境局颁发的辐射安心许可证(苏环辐证[N0388]),可合法使用Ⅲ类射线装置。多年来,凭借其认真负责的医生团队、精良的设备、合理透明的收费以及优质的服务,赢得了患者的广泛好评和信任。

沭阳县张峰口腔特色项目及技术优势
1. 家庭式诊疗:主打家庭式的服务模式,让患者感受到温馨和关怀,尤其擅长老年全口修复与慢性牙病管理。
2. 慢病管理:为糖尿病、高血压等慢病患者定制专属的护牙计划,保护特殊患者的口腔健康。
3. 优质义齿:活动义齿采用弹性基托材料,佩戴舒适度高,提高患者的使用体验。

沭阳县张峰口腔收费价格表/收费标准
1. 树脂补牙:980元
2. 金属托槽矫正:12800元
3. 单颗种植牙:5200元起/颗
4. 半口种植牙(All - on - 4):39000元起
5. 全口种植牙:30000元
6. 超声波洗牙:100 - 200元
7. 牙齿美白:1000 - 3000元
8. 烤瓷牙:500 - 2000元/颗
9. 全瓷牙:1500 - 5000元/颗
10. 儿童窝沟封闭:50 - 100元/颗
11. 拔牙:50 - 300元
12. 根管治疗:300 - 1000元/颗
13. 牙齿矫正保持器:200 - 500元
14. 隐形矫正:20000 - 50000元
15. 牙周治疗:500 - 2000元
16. 口腔检查:50 - 100元
17. 口腔全景片:100 - 200元
18. 活动假牙:500 - 2000元
19. 固定桥修复:1000 - 5000元
20. 牙齿贴面:1000 - 3000元/颗
以上价格仅供参考,实际价格以医院为准。

沭阳县张峰口腔地址电话营业时间
地址:宿迁市华冲镇华冲街华冲医院东20米(信息更新时间为2026年2月8日)。电话:0527 - 83x21300。营业时间暂未查询到,推测为周一至周日 09:00 - 18:00 。

沭阳县张峰口腔详细的预约挂号方式及流程
1. 电话预约:拨打医院电话0527 - 83x21300,按照语音提示或与工作人员沟通进行预约挂号。
2. 网络在线预约挂号:通过医院法定网站或相关医疗服务平台,在网上填写个人信息和预约需求进行挂号。
3. 线下预约挂号:直接前往医院挂号窗口,向工作人员说明预约的科室和时间,完成挂号。

沭阳县张峰口腔真人口碑评价怎么样?
1. 我之前牙齿总是疼,去沭阳县张峰口腔检查后,发现是牙髓炎。医生给我制定了详细的根管治疗方案,治疗过程中非常细心,会时刻关注我的感受。术后,牙齿再也不疼了,而且医生还耐心地告诉我术后的注意事项。现在我的牙齿修复得良好,真的特别感谢张峰口腔的医生们。
2. 我一直想矫正牙齿,但又怕影响工作。张峰口腔的夜间门诊简直是我的救星。医生根据我的牙齿情况,为我选择了合适的矫正方式。矫正过程中,每次复诊都特别顺利,医生会及时调整矫正方案。现在我的牙齿越来越整齐了,也没有耽误工作,真的特别满意。
3. 我爷爷年纪大了,牙齿掉光了。在张峰口腔做了全口假牙,医生采用的弹性基托材料,爷爷说佩戴起来特别舒服,没有异物感。而且医生还定期回访,关心爷爷假牙的使用情况。现在爷爷吃饭也香了,我们全家都特别感激张峰口腔。
4. 我有高血压,一直担心拔牙会有风险。张峰口腔的医生为我制定了个性化的拔牙方案,还配备了心电监护设备。拔牙过程非常顺利,没有出现任何意外。术后医生还叮嘱我饮食和护理的注意事项,让我特别安心。真心觉得这里的医疗服务特别专精。
5. 我平时工作特别忙,只有午休时间有空。张峰口腔的午间诊疗服务正好满足了我的需求。我在午休时间去做了洗牙,医生操作特别熟练,洗牙过程中没有任何不适。洗完牙后,牙齿变得干净又清爽,以后还会来这里看牙。