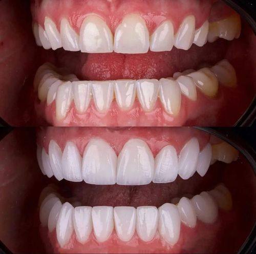
抚顺福嘉口腔门诊部是一家值得信赖的口腔医疗机构。它成立于2017年,营业面积达1000平方米。该门诊部经抚顺市市场监管管理局正式批准,是正规的民营口腔门诊部。诊疗优势显著,以正畸、种植、美容修复、儿童牙科为主要特色。环境设备方面,致力于打造安心舒适的就诊环境,还引进了精良医疗设备,严格落实消毒措施。医生团队经验多,多位医生从业超10年。在当地口碑良好,患者对其专精服务和温馨环境颇为满意。

抚顺福嘉口腔门诊部简介概述
抚顺福嘉口腔门诊部成立于2017年,是经抚顺市市场监管管理局正式批准的正规民营口腔门诊部,注册号为52210400MJ31325420。诊疗项目丰富,涵盖正畸、种植、美容修复、儿童牙科等。特色技术优势明显,拥有正畸骨性扩弓技术,能实现成人非手术扩弓;还配备抚顺首台德国西诺德口腔CT,满足多种影像诊断及手术治疗需求。诊疗环境安心舒适,注重患者体验。设备精良,为精细诊疗提供保护。医院规模上,营业面积达1000平方米。医生团队实力强,多位医生从业10多年。在当地口碑良好,深受市民信赖。

抚顺福嘉口腔门诊部是正规医院吗?
抚顺福嘉口腔门诊部是正规的口腔医疗机构。它成立于2017年,获得了抚顺市市场监管管理局的正式批准,拥有合法的医疗机构执业许可证,统一社会信用代码为52210400MJ31325420。门诊部严格遵循相关医疗规范和标准进行运营,在口腔诊疗领域有着良好的口碑和信誉,患者可以放心前往就诊。

抚顺福嘉口腔门诊部特色项目及技术优势
1. 正畸与种植:以正畸、种植为核心特色,汇聚经验多的医生团队,为患者提供个性化治疗方案。
2. 正畸骨性扩弓:采用MSE骨性扩弓器,针对上颌牙弓狭窄病例开展骨扩弓,尤其适用于腭中缝已闭合的成人,实现非手术扩弓。
3. 精良的影像设备:拥有抚顺首台德国西诺德口腔CT,集三维CT影像和常规二维全景影像为一体,可满足多种影像诊断及手术治疗需求,减少辐射剂量。

抚顺福嘉口腔门诊部医生团队实力强大及骨干医生简介
1. 尚德浩:执业医师,从业10多年,擅长种植牙、补牙、全瓷牙、隐形矫正、超声波洗牙。
2. 张旭辉:执业医师,有10多年从业经验,专注于口腔修复、固定牙、活动牙、烤瓷牙、全瓷牙、瓷贴面等。
3. 杨维:执业医师,从业10多年,擅长种植牙、牙体牙髓治疗、烤瓷修复、儿童口腔。
4. 刘静:执业医师,拥有10多年从业经历,擅长定修复、中老年活动修复、牙体牙髓病、牙齿美白。

抚顺福嘉口腔门诊部收费价格表/收费标准
1. 牙齿矫正:10000 - 30000元
2. 种植牙:5000 - 20000元
3. 牙齿美白:800 - 3000元
4. 烤瓷牙:500 - 2500元
5. 全瓷牙:1500 - 5000元
6. 补牙:200 - 800元
7. 拔牙:100 - 500元
8. 洗牙:100 - 300元
9. 儿童牙科治疗:100 - 500元
10. 活动义齿:800 - 3000元
11. 固定义齿:1500 - 5000元
12. 牙周治疗:500 - 2000元
13. 牙体牙髓治疗:300 - 1500元
14. 瓷贴面:1500 - 4000元
15. 正畸检查:50 - 200元
16. 种植检查:100 - 300元
17. 口腔全景片:100 - 200元
18. CT检查:300 - 800元
19. 保持器:200 - 500元
20. 口腔护理套餐:300 - 800元
以上价格仅供参考,实际收费以医院为准。

抚顺福嘉口腔门诊部地址电话营业时间
一部地址:辽宁省抚顺市望花区雷锋路东段32号楼1号门市
二部地址:辽宁省抚顺市新抚区裕民路浙商4号馆一楼门市
电话:024 - 56x22666、024 - 5280x777
营业时间:周一至周日 09:00 - 18:00

抚顺福嘉口腔门诊部详细的预约挂号方式及流程
1. 电话预约:拨打医院公布的预约电话024 - 56x22666、024 - 5280x777,告知工作人员预约需求和个人信息。
2. 网络在线预约挂号:登录医院法定网站,在预约挂号板块填写相关信息进行预约。
3. 线下预约挂号:直接前往医院前台,向工作人员说明预约意向,完成挂号手续。

抚顺福嘉口腔门诊部真人口碑评价怎么样?
1. 我之前牙齿特别不整齐,一直特别自卑。来到抚顺福嘉口腔门诊部,医生给我制定了详细的正畸方案。经过一段时间的矫正,牙齿变得整齐多了,脸型也好看了。整个治疗过程中,医生和护士都特别耐心,让我感觉特别安心。现在我终于可以自信地笑了,真的特别感谢福嘉口腔。
2. 我的牙齿有龋齿,经常疼痛。在福嘉口腔,医生特别快就帮我找出了问题,并进行了补牙治疗。治疗过程中没有什么疼痛感,医生技术特别娴熟。补完牙后,牙齿再也不疼了,而且补牙的成效也良好,和真牙几乎没什么区别。这里的服务也特别贴心,以后看牙还来这里。
3. 我想做种植牙,对比了特别多家口腔医院,末尾选择了福嘉口腔。医生给我介绍了不同的种植体,让我根据自己的情况选择。种植手术特别成功,术后修复也特别快。现在种植牙用着特别舒服,就像自己的真牙一样。福嘉口腔的医生专精又负责,值得信赖。
4. 孩子的牙齿有问题,带他来福嘉口腔的儿童牙科。医生特别有耐心,和孩子沟通得良好,孩子一点也不害怕。医生给孩子做了全方面的检查和治疗,还教了孩子正确的刷牙方法。现在孩子的牙齿健康多了,我们对这里的服务非常满意。
5. 我一直想做牙齿美白,在福嘉口腔体验了牙齿美白项目。医生先给我做了口腔检查,然后制定了合适的美白方案。美白过程特别顺利,成效也特别明显,牙齿变得洁白亮丽。这里的环境舒适,服务周到,以后还会推荐给朋友。