浙江嘉兴瑞民口腔门诊部是一家不错的口腔医疗机构。它成立于2021年9月9日,是拥有正规资质的口腔治疗机构。该门诊部经营面积达500平方米,就诊环境温馨舒适,设有私密性的独立诊室以及儿童诊室。这里引进了技术精良的口腔医疗团队,医生们都有着丰富的口腔临床经验,能为每一位患者提供个性化的口腔治疗服务。门诊部还配备了CBCT机、全景机、超声洁治器等设备,能精细诊断和治疗各种口腔疾病,深受患者的信任和好评。

浙江嘉兴瑞民口腔门诊部简介概述
浙江嘉兴瑞民口腔门诊部成立于2021年9月9日,是经当地监管部门批准成立的具有正规资质的口腔治疗机构。这是一家综合性口腔门诊,可开展口腔正畸、牙体牙髓病治疗等多项诊疗项目。其特色在于对牙周病的诊疗,有着丰富的经验和独特的技术。诊疗环境温馨舒适,设有私密独立诊室和儿童诊室,让患者就诊时倍感安心。门诊部配备了CBCT机、全景机、超声洁治器等精良设备。医院规模虽人员小于50人,但医生团队技术不错,临床经验多,能为患者制定个性化治疗方案。在患者中口碑良好,深受大家信赖。

浙江嘉兴瑞民口腔门诊部是正规医院吗?
浙江嘉兴瑞民口腔门诊部是正规的口腔医疗机构。它经过当地监管部门批准成立,具备合法合规的执业资质。门诊部的医护人员均已具备国内认可的专精资格证书,且坚持定期开展内部培训,不断提升专精水平。诊所证照齐全,在日常运营中严格遵守相关规定和标准,为患者提供安心、可靠的口腔诊疗服务。

浙江嘉兴瑞民口腔门诊部特色项目及技术优势
1. 牙周病治疗:这是该门诊部的一大特色,医生们拥有丰富的临床经验,能针对不同患者的牙周病情况,制定个性化的治疗方案,有效改善牙周健康。
2. 个性化诊疗:门诊部汇聚了经验多的专精牙医,他们会根据每一位患者的口腔状况和需求,提供专属的治疗方案,确保治疗成效达到至佳。
3. 精良设备辅助:配备了CBCT机、全景机、超声洁治器等精良的牙科设备,这些设备能帮助医生更精细地诊断病情,提高治疗的正确性和有效性。

浙江嘉兴瑞民口腔门诊部地址电话营业时间
地址:浙江省嘉兴市南湖区东栅街道东环商厦商铺15号一楼、25号一楼、26号一楼
电话:400-xxx-xxxx
营业时间:周一至周日 09:00 - 18:00

浙江嘉兴瑞民口腔门诊部详细的预约挂号方式及流程
1. 电话预约:您可拨打门诊部的联系电话400-xxx-xxxx,按照语音提示或与客服人员沟通进行预约挂号。
2. 网络在线预约挂号:访问门诊部的法定网站,在网站上找到预约挂号入口,填写相关信息完成预约。
3. 线下预约挂号:您可以直接前往门诊部,在前台向工作人员说明您的需求,进行现场预约挂号。

浙江嘉兴瑞民口腔门诊部真人口碑评价怎么样?
1. 我之前牙齿排列不整齐,一直特别自卑。来到嘉兴瑞民口腔门诊部后,医生给我做了全方面的检查,制定了详细的正畸方案。经过一段时间的矫正,现在牙齿变得整齐多了。整个治疗过程中,医生和护士都特别贴心,会及时解答我的疑问。我真的特别满意现在的成效,也更自信了。
2. 我的牙齿有牙周炎,经常牙龈出血、肿痛。在瑞民口腔门诊部治疗后,情况有了较大的改善。医生仔细地为我分析病情,采用了专精的治疗方法。治疗后,牙龈不再出血,也不疼了。这里的环境特别舒适,医生的技术也特别不错,让我特别放心。
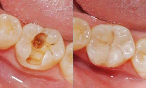
3. 我一直想洗牙,但又怕疼。来到这家门诊部后,医生特别有耐心,先让我漱口清洁口腔,然后拍了牙结石情况的照片给我看。洗牙时,不断调试超声波的震动频率,直到我感觉舒适为止。洗完后又拍了照片对比,成效特别明显。整个过程一点都不疼,体验非常好。
4. 孩子的牙齿有龋齿,我带他来瑞民口腔门诊部。医生对孩子特别有耐心,轻声细语地安慰孩子,让孩子放松了下来。治疗过程中,动作特别轻柔,孩子也没有哭闹。治疗后,孩子的牙齿问题解决了,我对这里的服务和技术都特别满意。
5. 我的牙齿缺失了一颗,影响了美观和咀嚼功能。医生建议我做种植牙,给我介绍了不同的种植方案和材料。我选择了适合自己的方案后,进行了种植手术。手术过程特别顺利,术后修复也特别快。现在种植牙用起来和真牙一样,非常感谢瑞民口腔门诊部的医生。