爱齿口腔门诊部(商都路店)是郑州地区备受关注的私立口腔医疗机构,整体评价积极。它经郑州市郑东新区管理委员会审核批准,是省市医疗保险定点合作单位,医疗服务规范且可报销。该门诊部提供种植牙、矫正、修复等多项服务,拥有精良设备和专精医师团队。医生会定期到德国进修,保持国内外诊疗水准。此外,诊所环境舒适,装修风格温馨,还提供免费WiFi、停车和预约免费口腔检查等服务,深受患者好评。

爱齿口腔门诊部(商都路店)简介概述
爱齿口腔门诊部(商都路店)成立于2018年,是经郑州市郑东新区管理委员会严格审核批准的正规口腔专科医疗机构,也是河南省及郑州市医疗保险定点合作单位。诊疗项目丰富,涵盖镶牙种植牙、牙齿美白、牙体牙髓治疗、牙周病治疗、牙齿矫正、儿牙治疗等。诊所特色在于数字化诊疗精良,医生定期赴韩国、德国交流学习,保持国内外诊疗水准。诊疗环境舒适,600多平方米的门店设有6个单独诊疗室、1个儿童诊疗室,还有儿童游乐区和休息区。引进了口腔摄像机、影像板扫描仪等精良设备。门诊部有国内数位第四军 医 大河医大口腔医生常年坐诊,医护人员严谨认真,口碑良好。

爱齿口腔门诊部(商都路店)是正规医院吗?
爱齿口腔门诊部(商都路店)是正规的口腔医疗机构。它经过郑州市郑东新区管理委员会严格审核批准,拥有正规的医疗资质。其登记号为MA4674PF041010417D2152,执业许可证有效期从2020年8月12日至2025年8月11日。同时,该门诊部还是河南省及郑州市的医疗保险定点合作单位,保护了医疗服务的规范性和可报销性,患者可以放心前往就诊。

爱齿口腔门诊部(商都路店)特色项目及技术优势
1. 数字化诊疗:作为数字化的精良专精口腔医疗诊所,利用精良设备提供精细的诊疗方案,保护治疗成效稳定。
2. 国内外交流:医生会定期到德国进修,每年还会选派医生赴韩国、德国开展科研学术交流活动,在口腔诊疗上保持国内外同等水准。
3. 性价比高:致力于为普通民众提供专精和性价比高的牙科服务,在价格上具有强大优势。

爱齿口腔门诊部(商都路店)地址电话营业时间
地址:郑州市郑东新区商都路与东风南路交叉口向东200米路南万科誉北侧底商(商都路与普惠路交叉口东南角)。电话:0371 - 57x89x20。营业时间:周一至周日9:00 - 20:00。

爱齿口腔门诊部(商都路店)详细的预约挂号方式及流程
1. 电话预约:拨打0371 - 57x89x20,按照语音提示或与工作人员沟通进行预约挂号。
2. 网络在线预约挂号:登录医院法定网站,在预约挂号板块填写个人信息和预约需求完成挂号。
3. 线下预约挂号:直接前往爱齿口腔门诊部(商都路店),在前台向工作人员说明预约挂号意向,办理相关手续。

爱齿口腔门诊部(商都路店)真人口碑评价怎么样?
1. 我牙齿缺失特别久了,一直想种牙又担心技术和价格。来到爱齿口腔门诊部(商都路店),医生详细了解我的情况后,制定了合适的种植方案。手术过程特别顺利,医生技术娴熟,术后修复也快。现在种的牙用着特别舒服,和自己的牙一样,价格还实惠,真的太满意了。
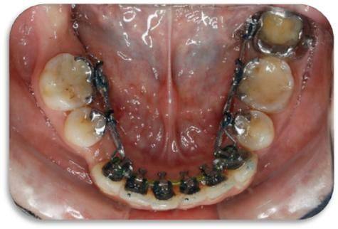
2. 我有牙齿矫正的需求,之前特别害怕矫正过程会特别痛苦。在这家门诊,医生耐心地给我讲解各种矫正方案的优缺点,更终我选择了适合自己的方案。矫正过程中,医生每次调整都特别细心,现在牙齿越来越整齐了,而且诊所环境舒适,服务贴心,让我矫正的过程变得特别轻松。
3. 我的牙齿比较黄,一直想美白。这里的医生根据我的牙齿情况,推荐了合适的美白技术。治疗过程中没有任何不适,术后牙齿明显变白了,整个人的魅力都提升了。诊所的设备特别精良,医生专精又负责,以后看牙就认准这里了。
4. 孩子乳牙滞留,需要拔牙,我特别担心孩子会害怕。来到这家门诊,儿童诊疗室的装修特别温馨,还有特别多玩具。医生特别有耐心,用温和的方式和孩子沟通,顺利完成了拔牙。孩子一点都不害怕,还说下次看牙还要来这里。
5. 我有牙周病,之前在别的地方治疗成效不太好。在爱齿口腔,医生进行了全方面的检查和诊断,制定了个性化的治疗方案。经过一段时间的治疗,牙周病得到了有效控制,牙龈也不出血了。医生的技术和服务都让我非常满意,感谢他们。