欧忠辉医生是一位在口腔医学领域颇具影响力的骨干医生,他拥有硕士学位,是副主医师、硕士生导师。欧忠辉医生长期从事口腔医学临床、教学及科研工作,积累了丰富的经验。他尤其擅长牙体牙髓病治疗及牙体美容修复,在这些领域有着显著的专精能力和高超的技术,能够为患者提供精细、有效的治疗方案,帮助患者解决口腔问题,修复口腔健康和美观。

欧忠辉医生个人简介资料
欧忠辉医生是一位德才兼备的口腔医学骨干医生。他1985年毕业于遵义医学校口腔系并获学士学位,2005年又获得该校口腔系研究生学历。他的背景实力十分雄厚,不仅学历高,而且在口腔医学领域深耕多年。在临床工作中,他积累了丰富的经验,能够熟练处理各种复杂的口腔问题。在教学方面,他培养了众多口腔医学、美容学及耳鼻喉科的本科生和研究生,为口腔医学事业培养了大量非凡人才。
欧忠辉医生擅长牙体牙髓病治疗及牙体美容修复。在牙体牙髓病治疗上,他能够正确诊断病情,采用精良的治疗方法,有效缓解患者的疼痛,保存患牙。在牙体美容修复方面,他注重美学成效与功能的结合,能够根据患者的口腔情况和需求,设计出个性化的修复方案,让患者拥有美观自然的牙齿。
欧忠辉医生的诊疗优势明显。他态度亲切和蔼,能够耐心倾听患者的诉求,为患者制定个性化的治疗方案。他在治疗过程中,注重细节,追求理想,以不错的技术和高度的职责心,为患者提供优质的医疗服务。在行业内,他是国内有名的口腔医学骨干医生,多次受邀到广东、福建、厦门及省内外讲学和进行学术交流,在口腔医学领域有着较高的地位。

欧忠辉医生擅长项目
1. 牙体牙髓病治疗:牙体牙髓病是口腔常见疾病,如龋齿、牙髓炎等。欧忠辉医生在这方面有着丰富的经验。他会通过详细的检查,正确判断病情。对于龋齿,他会采用精良的补牙技术,去除龋坏组织,然后用合适的材料进行填充,修复牙齿的外形和功能。对于牙髓炎,他会进行根管治疗,清除感染的牙髓组织,然后进行根管充填,防止再次感染。他的治疗方法科学有效,能够缓解患者的疼痛,保存患牙,提高患者的生活质量。
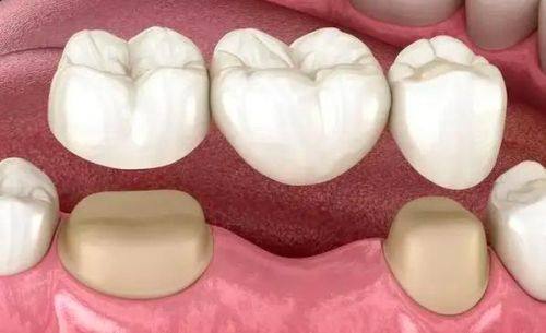
2. 牙体美容修复:随着人们对美的追求不断提高,牙体美容修复越来越受到关注。欧忠辉医生在这方面有着独特的见解和高超的技术。他可以根据患者的牙齿情况和面部特征,设计出个性化的美容修复方案。比如,对于牙齿变色、缺损等问题,他可以采用烤瓷牙、全瓷牙等修复方法,让牙齿变得更加美观自然。在修复过程中,他注重细节,从牙齿的颜色、形状到咬合关系,都进行精心调整,确保修复成效达到至佳。
3. 杆卡式种植覆盖义齿:这是一种精良的牙齿修复技术。欧忠辉医生熟练掌握该技术,能够为患者提供高质量的种植覆盖义齿修复。在手术过程中,他会精细地植入种植体,然后安装杆卡式附着体,末尾佩戴覆盖义齿。这种修复方式具有稳定性好、舒适度高、咀嚼效率高等优点,能够有效改善患者的口腔功能和美观。
4. 微管牙齿矫正:微管牙齿矫正技术是一种较为精良的正畸方法。欧忠辉医生能够根据患者的牙齿畸形情况,制定个性化的矫正方案。他通过使用微管矫治器,对牙齿施加温和的力量,使牙齿逐渐移动到理想的位置。这种矫正方法具有美观、舒适、矫正时间短等优点,能够帮助患者轻松解决牙齿不齐的问题。
5. 牙弓宽矫正:牙弓宽会影响牙齿的排列和咬合关系,还可能影响面部美观。欧忠辉医生擅长牙弓宽矫正,他会根据患者的具体情况,采用合适的矫正方法。比如,通过佩戴矫治器,逐渐调整牙弓的宽度,使牙齿排列整齐,修复正常的咬合关系。在矫正过程中,他会密切关注患者的牙齿变化,及时调整矫治方案,确保矫正成效达到预期。

欧忠辉医生技术优势
1. 丰富的临床经验:欧忠辉医生从事口腔医学临床工作超过三十年,在这漫长的时间里,他接触了大量的口腔疾病患者,积累了丰富的临床经验。无论是常见的牙体牙髓病,还是复杂的口腔美容修复问题,他都能够从容应对。他能够根据患者的具体情况,正确诊断病情,制定出更适合患者的治疗方案,提高治疗的成功几率。
2. 精良的技术理念:欧忠辉医生紧跟口腔医学的发展趋势,不断学习和掌握精良的技术理念。他将全新的口腔医学技术应用到临床治疗中,如杆卡式种植覆盖义齿、微管牙齿矫正等技术。这些精良的技术能够为患者提供更效率高、更舒适的治疗体验,提高治疗成效。
3. 个性化治疗方案:每个患者的口腔情况都是独特的,欧忠辉医生深知这一点。他在治疗过程中,会充分考虑患者的年龄、性别、口腔状况、个人需求等因素,为患者制定个性化的治疗方案。这种个性化的治疗方案能够更好地满足患者的需求,提高患者的满意度。
4. 不错的手术技巧:在口腔手术中,手术技巧至关重要。欧忠辉医生拥有不错的手术技巧,他在手术过程中操作精细、细致,能够较大程度地减少对患者口腔组织的损伤。比如,在种植牙手术中,他能够正确地植入种植体,确保种植体的稳定性和成功几率。
5. 注重术后护理:欧忠辉医生不仅注重治疗过程,还非常重视术后护理。他会为患者提供详细的术后护理指导,包括饮食、口腔卫生等方面的注意事项。他会定期对患者进行回访,了解患者的修复情况,及时调整治疗方案,确保患者能够顺利修复口腔健康。

欧忠辉医生执医荣誉
欧忠辉医生是国内有名的口腔医学骨干医生,担任遵义医 科 大学附属医院人事处人力资源科科长、遵义医学校医学影像学系办公室主事等职务。他还是硕士生导师,培养了众多非凡的口腔医学人才。此外,他还多次受邀到广东、福建、厦门及省内外讲学和进行学术交流,在口腔医学领域有着较高的声誉。

欧忠辉医生坐诊医院
欧忠辉医生在多家医院坐诊,包括遵义医学校口腔医院、厦门亚欧口腔门诊部等。遵义医学校口腔医院是一所集医疗、教学、科研为一体的口腔专科医院,拥有精良的医疗设备和专精的医疗团队。厦门亚欧口腔门诊部是福建省初家设立于高档写字楼内的名列前茅齿科诊疗中 心,环境优雅,设备精良,为患者提供优质的口腔医疗服务。

欧忠辉医生口碑评价及真人实例
1. 患者李先生:我之前牙齿有重度的龋齿问题,疼得我吃不下饭、睡不着觉。经朋友介绍,我找到了欧忠辉医生。欧医生给我做了详细的检查,然后制定了治疗方案。在治疗过程中,他非常细心,手法轻柔,尽量减少我的痛苦。治疗后,我的牙齿再也不疼了,而且修复得良好。欧医生还耐心地给我讲解了口腔卫生知识,让我以后好好保护牙齿。我真的特别感谢欧医生,他的医术高超,态度和蔼,是一位值得信赖的好医生。
2. 患者张女士:我一直对自己的牙齿颜色不满意,觉得影响美观。听说欧忠辉医生在牙体美容修复方面特别厉害,我就来找他了。欧医生根据我的牙齿情况,给我推荐了烤瓷牙修复方案。在修复过程中,他非常注重细节,从牙齿的颜色、形状到咬合关系,都进行了精心调整。修复后,我的牙齿变得洁白整齐,就像换了一口新牙一样。我非常满意这次的修复成效,欧医生的技术真的太棒了!
3. 患者王先生:我有牙弓宽的问题,导致牙齿排列不整齐,咬合也不好。欧忠辉医生给我做了牙弓宽矫正。在矫正过程中,他会定期给我调整矫治器,关注我的牙齿变化。经过一段时间的矫正,我的牙齿排列整齐了,咬合也修复正常了。欧医生还会经常关心我的矫正感受,给我鼓励和支持。现在我的牙齿变得特别漂亮,我真的特别感激欧医生。

欧忠辉医生价格表
1. 牙体牙髓病治疗:500元起
2. 牙体美容修复(烤瓷牙):1000元起
3. 杆卡式种植覆盖义齿:5000元起
4. 微管牙齿矫正:8000元起
5. 牙弓宽矫正:6000元起

欧忠辉医生预约挂号
1. 在线弹窗预约:您可以在我们的法定网站上点击在线弹窗,提交个人姓名、电话、诉求、日期等信息,即可轻松预约欧忠辉医生的门诊。
2. 电话预约:您可以拨打医院的预约电话,向工作人员说明您要预约欧忠辉医生的门诊,并提供相关信息,工作人员会为您办理预约手续。
3. 现场预约:您可以前往欧忠辉医生坐诊的医院,在挂号窗口直接预约他的门诊号。