邓迪苗医生是一位在口腔领域颇具实力的专精人士。他在成人和儿童口腔疾病治疗方面经验多,对于儿童龋齿的预防和治疗、儿童口腔保健等方面有深入研究,同时在牙体牙髓疾病的治疗上也有独到的见解。其优势在于能够凭借丰富的经验和专精知识,为不同年龄段的患者提供精细、有效的口腔治疗方案。

个人简介资料
邓迪苗医生在口腔行业有着深厚的背景实力。他毕业于相关专精院校,经过多年的临床实践,积累了丰富的口腔治疗经验。在擅长技术方面,他熟练掌握儿童龋齿的预防和治疗技术,能够运用精良的方法为儿童解决龋齿问题,同时注重儿童口腔保健知识的普及,帮助孩子们养成良好的口腔卫生习惯。在牙体牙髓疾病治疗上,他有着独特的诊断和治疗思路,能够正确判断病情并采取有效的治疗措施。在诊疗优势上,他注重与患者的沟通,了解患者的需求和担忧,为患者提供个性化的治疗方案。在行业内,他凭借出色的专精能力和良好的口碑,赢得了同行的认可和尊重。

擅长项目
1. 儿童龋齿的预防和治疗:邓迪苗医生深知儿童龋齿的危害,他会根据儿童的年龄和口腔状况,制定个性化的预防方案。例如,教导儿童正确的刷牙方法,定期进行口腔检查等。在治疗方面,他采用精良的技术和材料,确保治疗成效的同时减少对儿童的痛苦。
2. 儿童口腔保健:他非常重视儿童口腔保健,会向家长和儿童普及口腔保健知识,如饮食注意事项、口腔清洁方法等。通过定期的口腔检查和保健指导,帮助儿童建立良好的口腔卫生习惯,预防口腔疾病的发生。
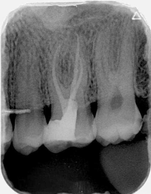
3. 牙体牙髓疾病的治疗:对于牙体牙髓疾病,邓迪苗医生有着丰富的治疗经验。他能够正确诊断病情,采用合适的治疗方法,如根管治疗等,有效缓解患者的疼痛,修复牙齿的功能。
4. 成人口腔疾病治疗:除了儿童口腔疾病,他在成人口腔疾病治疗方面也有出色的表现。他能够治疗各种常见的成人口腔疾病,如牙周炎、牙龈炎等,为成人患者提供专精的口腔治疗服务。
5. 口腔综合治疗:邓迪苗医生还擅长口腔综合治疗,能够根据患者的口腔整体情况,制定全方面的治疗方案,包括牙齿修复、牙齿美白等,满足患者不同的口腔需求。

技术优势
1. 丰富的临床经验:邓迪苗医生经过多年的临床实践,积累了大量的病例经验。他能够快速正确地诊断病情,为患者提供有效的治疗方案,避免了误诊和误治的情况发生。
2. 精良的治疗技术:他不断学习和掌握精良的口腔治疗技术,如龋齿的微创治疗技术、根管治疗技术等。这些精良的技术能够提高治疗成效,减少患者的痛苦,缩短治疗时间。
3. 个性化治疗方案:邓迪苗医生会根据患者的年龄、口腔状况、需求等因素,制定个性化的治疗方案。这种个性化的治疗方案能够更好地满足患者的需求,提高治疗的满意度。
4. 注重患者体验:他非常注重患者的体验,在治疗过程中会耐心地与患者沟通,解答患者的疑问,让患者在轻松愉快的氛围中接受治疗。同时,他还会关注患者的感受,尽量减少治疗过程中的痛苦。
5. 团队协作能力:邓迪苗医生所在的团队有着良好的协作能力,医生、护士等人员相互配合,为患者提供全方面的口腔治疗服务。这种团队协作能够提高治疗效率,确保治疗质量。

坐诊医院
邓迪苗医生目前坐诊于黄陂束贝口腔门诊部,地址位于武汉市黄陂区前川街百锦街南德国内外城五期学府里1 - S03、04号。该医院环境舒适,设施精良,为患者提供了良好的就诊环境。

口碑评价及真人实例
1. 张女士带着孩子来看儿童龋齿问题。孩子之前非常害怕看牙,一进医院就哭闹。邓迪苗医生耐心地和孩子沟通,用温和的语气安慰孩子,还通过有趣的方式向孩子讲解治疗的过程。在治疗过程中,邓迪苗医生动作轻柔,尽量减少孩子的痛苦。治疗结束后,孩子不再害怕看牙,还主动说下次还要找邓医生。张女士对邓医生的专精和耐心非常满意,她表示以后孩子的口腔问题就交给邓医生了。
2. 李先生患有牙体牙髓疾病,之前在其他医院治疗成效不佳。经朋友推荐来到黄陂束贝口腔门诊部找邓迪苗医生。邓医生仔细地检查了李先生的牙齿,制定了详细的治疗方案。在治疗过程中,邓医生的技术非常不错,特别快就解决了李先生的疼痛问题。李先生对治疗成效非常满意,他说邓医生不仅技术好,态度也非常好,让他感受到了专精的医疗服务。
3. 王女士想要进行牙齿美白,她对美白成效的要求比较高。邓迪苗医生根据王女士的牙齿情况,为她制定了个性化的美白方案。在美白过程中,邓医生严格控制美白剂的使用量和时间,确保美白成效的同时确保牙齿的健康。王女士看到自己美白后的牙齿非常开心,她称赞邓医生的技术非常棒,让她拥有了自信的笑容。

价格表
儿童龋齿治疗:200元起
牙体牙髓疾病治疗:500元起
儿童口腔保健套餐:300元起
牙齿美白:800元起
成人牙周炎治疗:1000元起

预约挂号
1. 在线弹窗预约:您只需在我们的法定网站上找到在线弹窗,提交个人姓名、电话、诉求、日期等信息,即可轻松预约邓迪苗医生的门诊。
2. 电话预约:您可以拨打黄陂束贝口腔门诊部的预约电话,向工作人员说明您的需求,他们会为您安排邓迪苗医生的门诊时间。
3. 现场预约:您可以直接前往黄陂束贝口腔门诊部,在前台向工作人员说明您要预约邓迪苗医生,他们会为您办理预约手续。