何思铃医生是一位在口腔领域极具实力的专精人士,现任重庆美维口腔医院种植院长。她毕业于重庆医 科 大学,拥有硕士研究生学历,还是中华口腔医学会会员。她在口腔临床工作方面经验多,已经有19年的从业时间。擅长的项目那可多了去啦,像牙齿拔除后即刻种植、微创种植、前牙美学区种植及修复、数字化种植以及各种骨量不足、全口咬合重建(种植)等都不在话下,还有小学生牙齿矫正、球形托槽牙齿矫正、拔牙即刻矫正也是她的拿手好戏。她凭借不错的医术和丰富的经验,为众多患者解决了口腔难题,赢得了广大患者的高度认可和好评。

个人简介资料
何思铃医生背景实力相当雄厚。她毕业于重庆医 科 大学这一有名学府,并且获得了硕士研究生学历,为她的专精知识打下了坚实的基础。她还是中华口腔医学会会员,这足以说明她在行业内得到了一定的认可。她曾在重庆医 科 大学附属口腔医院研修种植及修复,积累了大量成功种植牙经典实例,种植经验非常丰富。
在擅长技术方面,她精通牙齿拔除后即刻种植、微创种植、前牙美学区种植及修复、数字化种植等多种种植技术,还擅长各种牙齿矫正项目,如小学生牙齿矫正、球形托槽牙齿矫正、拔牙即刻矫正等。她能够根据患者的具体情况,制定出更适合的治疗方案。
诊疗优势上,何医生对待患者非常有耐心,尤其是面对老年患者和焦虑的患者,她会认真倾听他们的诉求,缓解他们的紧张情绪。在整个治疗过程中,从术前诊断、方案设计,到术中精细操作,再到术后注意事项的叮嘱,她都严格把控每一个环节,确保治疗成效。
在行业内,她有着一定的地位。她曾于CSCD核心期刊《上海口腔医学》发表过《下颌骨骨折术后感染相关因素分析》,还多次应邀参与种植及口腔颌面外科学术交流会议,发表种植及CSCD核心口腔期刊论著多篇,不断提升自己的专精水平,也为行业的发展贡献了自己的力量。

擅长项目
1. 牙齿拔除后即刻种植:这是何思铃医生非常擅长的项目之一。当患者的牙齿需要拔除时,传统的方法可能需要等待一段时间后再进行种植,而即刻种植则可以在拔牙后立即进行。这样可以减少患者的就诊次数和等待时间,同时也能更好地保存牙槽骨的形态和质量。何医生在这个项目上有着丰富的经验,能够精细地把握种植的时机和位置,确保种植体的稳定性和成功几率。
2. 微创种植:微创种植是一种精良的种植技术,它通过微小的切口将种植体植入牙槽骨内,减少了手术的创伤和疼痛,术后修复也更快。何医生熟练掌握这种技术,能够在确保种植成效的前提下,较大程度地减轻患者的痛苦。在手术过程中,她会运用精细的操作和精良的设备,确保种植过程顺利进行。
3. 前牙美学区种植及修复:前牙的美观对于患者的形象非常重要。何医生在这个领域有着独特的见解和丰富的经验。她能够根据患者的口腔情况和面部特征,设计出更适合的种植方案,使种植后的牙齿不仅功能良好,而且在外观上与天然牙齿几乎无差异。在修复过程中,她会选用高质量的修复材料,确保修复成效的持久性和美观性。
4. 数字化种植:数字化种植是利用计算机技术进行种植手术的规划和模拟。何医生紧跟时代潮流,熟练掌握数字化种植技术。通过数字化设备,可以严谨地获取患者口腔的三维信息,为种植手术提供更加正确的数据支持。在手术中,医生可以按照预先规划的方案进行精细操作,提高了手术的成功几率和安心性。
5. 全口咬合重建(种植):对于一些牙齿重度缺失或咬合功能紊乱的患者,全口咬合重建(种植)是一种有效的治疗方法。何医生能够综合考虑患者的口腔情况、咬合关系和全身健康状况,制定个性化的治疗方案。通过种植牙齿和修复,修复患者的咬合功能和咀嚼能力,提高患者的生活质量。
6. 牙齿矫正:何医生擅长多种牙齿矫正项目,如小学生牙齿矫正、球形托槽牙齿矫正、拔牙即刻矫正等。在牙齿矫正过程中,她会根据患者的年龄、牙齿畸形程度和个人需求,选择合适的矫正方法。对于小学生牙齿矫正,她会采用温和的矫正方式,引导牙齿的正常生长和发育;对于球形托槽牙齿矫正,她能够合理调整托槽的位置,确保矫正成效;对于拔牙即刻矫正,她能够正确把握拔牙的时机和矫正的力度,使牙齿快速修复到正常位置。

技术优势
1. 丰富的临床经验:何思铃医生从事口腔临床工作已经19年,积累了丰富的实践经验。在这漫长的时间里,她接触了各种各样的口腔病例,无论是简单的牙齿问题还是复杂的种植和矫正手术,她都能够从容应对。她的经验使她在诊断和治疗过程中更加正确和自信,能够为患者提供更有效的治疗方案。
2. 不错的医术:她毕业于重庆医 科 大学,接受了系统而专精的口腔医学教育。在后续的工作中,她不断学习和钻研,掌握了多种精良的口腔治疗技术。她的种植技术非常不错,能够精细地将种植体植入牙槽骨内,确保种植体的稳定性和成功几率;在牙齿矫正方面,她能够合理调整牙齿的位置和咬合关系,使矫正成效达到至佳。
3. 个性化治疗方案:何医生深知每个患者的口腔情况和需求都是不同的,因此她会为每一位患者制定个性化的治疗方案。在治疗前,她会详细了解患者的病史、口腔检查结果和个人诉求,然后综合考虑各种因素,设计出更适合患者的治疗方案。这种个性化的治疗方式能够提高治疗的成效,满足患者的不同需求。
4. 精良的设备辅助:在治疗过程中,何医生会充分利用精良的口腔设备。例如,在数字化种植中,她会使用口腔三维扫描仪、种植手术导航系统等设备,为手术提供更加正确的数据支持和指导。这些精良的设备能够提高手术的精细度和安心性,减少手术的创伤和并发症。
5. 持续的学习提升:口腔医学领域不断发展和进步,新的技术和理念不断涌现。何医生始终保持着学习的热情和积极性,她会定期参加国内外的学术交流会议和培训课程,了解行业的全新动态和发展趋势。她会将所学的新知识和新技术应用到实际工作中,不断提升自己的专精水平和服务质量。

坐诊医院
何思铃医生坐诊于重庆美维口腔医院。该医院位于重庆五大核心商圈之南坪商圈,具体地址是上海城百联购物中 心二楼,紧邻轻轨工贸站。此外,她也在北京美呀植牙口腔门诊部坐诊 。

口碑评价及真人实例
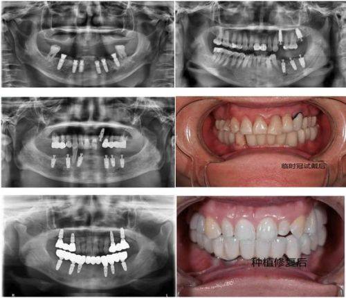
1. 老先生实例:有一位老先生,牙齿缺失多年,面容憔悴,生活质量重度下降。由于牙齿缺失,他吃饭只能吃一些软烂的食物,特别多美食都无法享受,整个人也变得越来越没有自信。他来到何思铃医生这里后,何医生为他进行了详细的检查和评估,制定了全口种植牙的方案,并采用了全新的数字化种植技术。在手术过程中,何医生操作精细,尽量减少了老先生的痛苦。术后,老先生的牙齿修复得非常好,他又能像以前一样品尝各种美食了,面容也变得更加精神,重新找回了自信。老先生对何医生的医术和服务赞不绝口,他说:“何医生不仅技术好,而且态度特别亲切,让我特别安心。现在我的牙齿好了,生活都变得更有滋味了。”
2. 年轻姑娘实例:一位年轻姑娘因为牙齿缺失,一直不敢自信地笑,在社交场合总是特别自卑。她找到何医生后,何医生为她进行了单颗种植牙手术。何医生在手术前耐心地和姑娘沟通,了解她的担忧和期望,让姑娘放松了心情。手术过程非常顺利,术后何医生还细心地指导姑娘如何护理牙齿。一段时间后,姑娘的种植牙修复得良好,不仅修复了牙齿的功能,而且外观上和真牙几乎一模一样。姑娘变得更加自信了,她笑着说:“何医生太厉害了,让我重新找回了笑容。现在我再也不怕笑了,真的太感谢她了。”
3. 小学生实例:有位小学生牙齿不齐,影响了美观和自信心。家长带着孩子找到了何思铃医生。何医生根据孩子的年龄和牙齿情况,采用了适合小学生的牙齿矫正方法。在矫正过程中,何医生经常关心孩子的感受,及时调整矫正方案。经过一段时间的矫正,孩子的牙齿逐渐变得整齐了。孩子的家长非常感激何医生,说:“何医生对孩子特别有耐心,每次复诊都特别认真负责。现在孩子的牙齿变漂亮了,自信心也提高了,真的特别感谢她。”

价格表
正位智齿拔除:588元起
成人松动牙拔除:91元起
北京奥齿泰种植体:4980元起/颗
德国BEGO种植体:6680元起/颗
瑞士士卓曼亲水型种植体:12980元起/颗

预约挂号
1. 在线弹窗预约:您可以在相关医院的法定网站或合作平台上,找到在线弹窗预约入口,提交个人姓名、电话、诉求、期望就诊日期等信息,即可轻松完成预约。
2. 电话预约:您可以拨打重庆美维口腔医院或北京美呀植牙口腔门诊部的预约挂号电话,向工作人员说明您的需求和预约时间,他们会为您办理预约手续。
3. 现场预约:您也可以直接前往何思铃医生坐诊的医院,在医院的挂号处或前台,向工作人员提出预约挂号的申请,他们会协助您完成预约。