梁亚涵医生是一位实力强劲、经验多的医疗骨干医生。他毕业于有名院校,拥有口腔医学硕士研究生学位。梁亚涵医生擅长的项目众多,涵盖了口腔和整形美容多个领域,比如美学修复、全瓷牙修复、烤瓷牙修复、种植牙、眼部整形、面部年轻化、地包牙齿矫正等。他有着二十余年的临床工作经验,多次参加国内外整形学术交流会,还多次赴日本、韩国、美国进行学术交流,技术不错,凭借出色的术后成效赢得了患者的高度赞誉。

梁亚涵医生个人简介资料
梁亚涵医生背景实力十分雄厚。他毕业于国内人民解放军第一军 医 大学,1985年毕业于第四军 医 大学医学系,还是中共党员。他有着丰富的学习经历,1995年10月 - 1996年5月在平顶山市肿 瘤医院头颈外科学习,2009年参加西部口腔修复学研讨会。在行业内,他是平顶山市市医疗鉴定骨干医生,临床工作二十余年。
梁亚涵医生擅长技术多样。在口腔领域,他创举纯自然牙冠美容和镀膜美白牙齿技术,擅长牙齿美容、正畸,尤其专攻高龄疑难牙齿不齐嘴巴歪矫正。在整形美容方面,他擅长眼部整形、面部年轻化、地包牙齿矫正等。
他的诊疗优势明显。有着亲和力的外表,能让患者在就诊过程中感到放松。他潜心研攻美学形象设计近十年,崇尚自然、和谐、精细、唯美,能从美学角度为患者提供更优质的诊疗方案。他已为数千位患者重塑美好微笑,帮助他们解决各种口腔疾病。
在行业内地位颇高。他多次参加国内外整形学术交流会,还多次赴日本、韩国、美国进行学术交流,其独到的见解获得韩国等国内同行认可。他在一类专精杂志发表论文10余篇,在国内外重要刊物发表论文30余篇,还获得科学技术厅非凡成果奖1项。

梁亚涵医生擅长项目
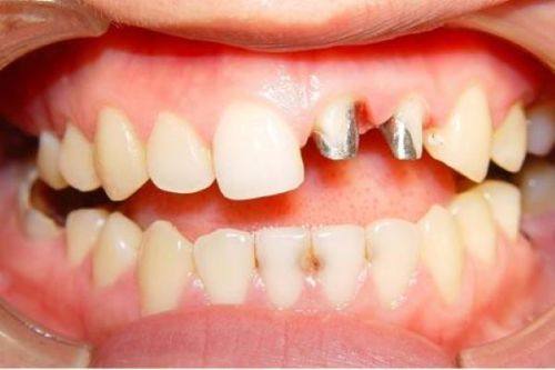
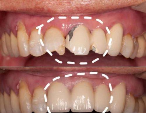
1. 口腔美学修复:梁亚涵医生擅长的美学修复包括全瓷牙修复和烤瓷牙修复。全瓷牙修复具有美观度高、生物相容性好等优点,能较大程度模拟真牙的色泽和形态,让患者的牙齿看起来更加自然美观。烤瓷牙修复则是一种较为传统且成熟的修复方式,它能有效修复牙齿的形态和功能,同时价格相对较为亲民。梁医生在进行美学修复时,会根据患者的口腔情况、个人需求和面部特征等因素,制定个性化的修复方案,以达到至佳的修复成效。
2. 种植牙:对于牙齿缺失的患者,梁亚涵医生擅长半口百康种植牙。种植牙可以良好地修复牙齿的咀嚼功能,而且稳定性高,使用寿命长。梁医生在种植牙手术方面有着丰富的经验,他会在术前对患者的口腔进行全方面的检查和评估,选择合适的种植体和种植方案,确保手术的安心性和成功几率。术后还会给予患者专精的护理指导,帮助患者尽快修复。
3. 牙齿正畸:梁医生尤其擅长高龄疑难牙齿不齐嘴巴歪矫正。他在2010年开始作为国内开展Invisalign隐适美隐形矫治的医生,手术风格稳定细腻。隐形矫治技术具有美观、舒适、可自行摘戴等优点,不会影响患者的日常生活和社交。梁医生在正畸过程中,会运用精良的技术和理念,结合患者的牙齿情况,制定合理的正畸方案,逐步调整牙齿的位置,达到理想的矫正成效。
4. 眼部整形:梁亚涵医生擅长眼袋整形外切等眼部整形项目。外切去眼袋手术可以有效去除下眼睑多余的脂肪和皮肤,改善眼袋问题,让眼部看起来更加年轻有神。梁医生在手术中会精细操作,减少创伤,确保术后成效自然、美观。
5. 面部年轻化:他在面部年轻化方面也有着丰富的经验。通过多种技术手段,可以改善面部皱纹、松弛等问题,让面部肌肤修复弹性和光泽。梁医生会根据患者的面部状况,选择合适的治疗方法,如注射填充、激光治疗等,为患者打造个性化的面部年轻化方案。

梁亚涵医生技术优势
1. 丰富的临床经验:梁亚涵医生拥有二十余年的临床工作经验,在口腔和整形美容领域积累了大量的实践经验。他曾为数千位患者进行过诊疗,处理过各种复杂的病例。无论是牙齿矫正、种植牙还是眼部整形等项目,他都能熟练应对,正确判断病情,制定出科学合理的治疗方案。这种丰富的经验让他在面对各种突发情况时能够从容不迫,确保治疗的安心性和有效性。
2. 精良的技术理念:梁医生多次参加国内外整形学术交流会,还多次赴日本、韩国、美国进行学术交流,能够及时了解和掌握国内外上起初进的医疗技术和理念。在口腔正畸方面,他先开展Invisalign隐适美隐形矫治技术;在种植牙领域,他采用精良的种植系统和技术,提高了种植牙的成功几率和稳定性。他将这些精良的技术和理念应用到临床实践中,为患者提供更加优质的医疗服务。
3. 个性化的诊疗方案:梁亚涵医生深知每个患者的情况都不同,因此他非常注重个性化诊疗。在进行治疗前,他会对患者进行全方面的检查和评估,包括口腔状况、面部特征、个人需求等方面。然后根据这些信息,为患者制定专属的治疗方案。例如,在进行牙齿美容修复时,他会根据患者的牙齿颜色、形状和面部比例等因素,选择更适合的修复材料和方法,使修复后的牙齿不仅功能修复良好,而且与面部整体美观相协调。
4. 不错的手术技巧:在手术操作方面,梁医生有着不错的技巧。无论是口腔手术还是整形美容手术,他都能做到精细、正确。在种植牙手术中,他能够精细地植入种植体,减少对周围组织的损伤,提高种植体的稳定性和成功几率;在眼部整形手术中,他的操作细腻,能够有效避免手术并发症的发生,确保术后成效自然、美观。他的不错手术技巧为患者带来了更好的治疗体验和更理想的治疗成效。
5. 美学与医学的结合:梁医生不仅是一名非凡的医生,还是一位美学骨干医生。他潜心研攻美学形象设计近十年,崇尚自然、和谐、精细、唯美。在进行诊疗时,他会将美学理念融入到治疗方案中。例如,在进行牙齿矫正时,他会考虑牙齿的排列和咬合关系对面部美观的影响,通过调整牙齿的位置,改善患者的面部轮廓;在进行面部年轻化治疗时,他会根据患者的面部特征和皮肤状况,选择合适的治疗方法,使患者在修复年轻态的同时,保持自然的美感。

梁亚涵医生执医荣誉
梁亚涵医生是平顶山市市医疗鉴定骨干医生,在一类专精杂志发表论文10余篇,在国内外重要刊物发表论文30余篇,还获得科学技术厅非凡成果奖1项。他还是苏莱美整形集团医院骨干医生团成员。

梁亚涵医生坐诊医院
梁亚涵医生在平顶山诺德口腔医院坐诊。同时他还曾就职于平顶山市第一人民医院。

梁亚涵医生口碑评价及真人实例
1. 王女士,今年45岁,牙齿不齐且有几颗牙齿缺失,重度影响了她的美观和咀嚼功能。经朋友介绍找到了梁亚涵医生。梁医生为她制定了详细的治疗方案,精良行了种植牙手术,然后进行牙齿矫正。在整个治疗过程中,梁医生非常耐心,每次复诊都会仔细检查修复情况,并及时调整治疗方案。经过一段时间的治疗,王女士的牙齿变得整齐美观,咀嚼功能也修复正常。王女士说:“梁医生技术真的太好了,不仅解决了我的牙齿问题,还让我变得更加自信。而且他特别有亲和力,让人感觉特别温暖。我非常感谢他。”
2. 张先生,32岁,由于长期熬夜,眼袋问题非常重度,看起来十分憔悴。他来到梁亚涵医生这里进行眼袋整形外切手术。梁医生在术前详细地和张先生沟通,了解他的需求和期望。手术过程非常顺利,术后修复也特别快。张先生说:“梁医生的技术真的特别不错,手术几乎没有什么疼痛感,而且术后成效非常自然。现在我的眼袋消失了,看起来年轻了好几岁。我周围的朋友都夸我变化较大,我对这次手术非常满意。”
3. 李爷爷,68岁,牙齿不齐且嘴巴有点歪,吃饭都成问题。家人带着他找到了梁亚涵医生。梁医生考虑到李爷爷的年龄和身体状况,制定了温和且有效的矫正方案。在矫正过程中,梁医生定期回访,关心李爷爷的感受。经过几个月的矫正,李爷爷的牙齿逐渐变整齐,嘴巴歪的问题也得到了明显改善。李爷爷的家人说:“梁医生对待老人非常有耐心,技术也特别厉害。现在爷爷吃饭比以前方便多了,我们全家人都特别感谢他。”

梁亚涵医生价格表
地包牙齿矫正:7233元起
光纤吸脂瘦脸:8768元起
错颌矫治手术:15015元起
下颌手术磨骨头:46270元起
鼻腔纵隔手术:6888元起

梁亚涵医生预约挂号
1. 在线弹窗预约:您只需在相关网站的在线弹窗处提交个人姓名、电话、诉求、日期,即可轻松预约梁亚涵医生的诊疗服务。
2. 电话预约:您可以拨打平顶山诺德口腔医院的预约电话,告知工作人员您想预约梁亚涵医生,并提供个人相关信息进行预约。
3. 现场预约:您也可以直接前往平顶山诺德口腔医院,在挂号处说明要预约梁亚涵医生,由工作人员为您办理预约挂号手续。