陶胤彤医生是一位在口腔领域颇具实力的医生,拥有主治医师的资质。她从业经验多,有着10年的口腔临床经验。擅长的项目众多,涵盖牙齿矫正、隐形矫正、正畸取模设计方案、保持器、烤瓷牙、全冠牙、固定义齿、活动义齿、嵌体修复等。其优势在于能够结合面部比例设计矫正方案,兼顾美学与咬合功能,为患者提供更加个性化、高质量的口腔治疗服务。

陶胤彤医生个人简介资料
陶胤彤医生是深圳正夫口腔的一位主治医师,拥有深厚的背景实力。她毕业于相关口腔院校,经过多年的学习和实践,积累了丰富的口腔临床经验。在这10年的执业生涯中,她不断提升自己的专精技能,紧跟口腔医学的发展趋势。在擅长技术方面,她精通牙齿矫正、隐形矫正等多种项目。在矫正过程中,她擅长运用精良的技术手段,结合患者的具体情况,制定出更适合的矫正方案。在诊疗优势上,她能够站在患者的角度思考问题,耐心解答患者的疑问,让患者在轻松的氛围中接受治疗。在行业内,她也凭借着自己不错的医术和良好的口碑,赢得了同行的认可和尊重。

陶胤彤医生擅长项目
1. 牙齿矫正:牙齿矫正主要是通过各种矫正装置来调整面部骨骼、牙齿及颌面部的神经及肌肉之间的协调性,也就是调整上下颌骨之间,上下牙齿之间、牙齿与颌骨之间和联系它们的神经及肌肉之间不正常的关系,其更终矫治目标是达到口颌系统的平衡、稳定和美观。陶胤彤医生在牙齿矫正方面经验多,能够根据患者的不同情况,如牙齿排列不齐、咬合不正等,制定个性化的矫正方案。她会综合考虑患者的年龄、牙齿状况、面部特征等因素,选择合适的矫正方法,如传统的金属托槽矫正、陶瓷托槽矫正,以及更为美观舒适的隐形矫正等。
2. 隐形矫正:隐形矫正又叫“隐形无托槽矫正”,是牙齿矫正的一种。隐形无托槽矫正没有传统矫治过程中的钢丝和托槽,不影响美观等突出优点而广受美齿者青睐。陶胤彤医生是时代天使、隐适美认证医师,在隐形矫正方面有着独特的技巧。她能够精细地设计矫正方案,利用数字化技术模拟牙齿移动过程,让患者提前看到矫正成效。在治疗过程中,隐形矫正器佩戴舒适,可自行摘戴,不影响患者的日常生活和社交活动,大大提高了患者的治疗体验。
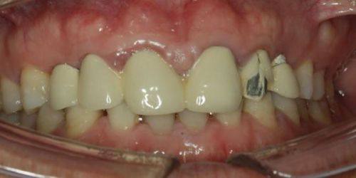
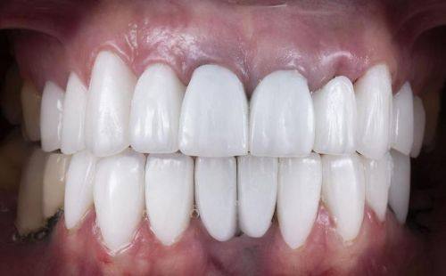
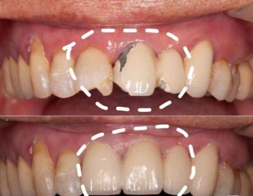
3. 烤瓷牙:烤瓷牙是一种对于牙体的现代化的修复手段。它是在缺损或缺失牙的部位,用铸造贵金属作为支撑的内核,再在其外部用烤瓷来达到与真牙的颜色和功能相仿的修复方法。陶胤彤医生在烤瓷牙修复方面技术娴熟,能够根据患者的牙齿颜色、形态等因素,选择合适的烤瓷材料,确保修复后的牙齿与自然牙颜色相近,形态美观,功能良好。同时,她在制作烤瓷牙的过程中,注重细节,确保烤瓷牙的质量和舒适度。
4. 活动义齿:活动义齿是利用剩余天然牙、基托下的黏膜和骨组织作为支持,依靠义齿的固位体和基托来固位,患者可以自行摘戴的一种修复体。陶胤彤医生在活动义齿修复方面有着丰富的经验,能够根据患者口腔内的剩余牙齿情况、牙槽骨条件等,设计出合适的活动义齿。她制作的活动义齿佩戴舒适,稳定性好,能够有效地修复患者的咀嚼功能,提高患者的生活质量。
5. 嵌体修复:嵌体是一种嵌入牙体内部,用以修复牙体缺损的形态和功能的修复体。陶胤彤医生在嵌体修复方面技术不错,能够精细地制备牙体,选择合适的嵌体材料,如树脂嵌体、瓷嵌体等。修复后的嵌体与牙体组织贴合紧密,能够有效地修复牙齿的外形和功能,同时还能保护牙齿,防止牙齿进一步损坏。

陶胤彤医生技术优势
1. 个性化方案设计:陶胤彤医生在治疗前会对患者进行全方面的口腔检查和评估,包括牙齿的排列、咬合关系、面部特征等。她会根据患者的具体情况,结合自己的专精知识和经验,为患者制定个性化的治疗方案。例如,在牙齿矫正方面,她会根据患者的牙齿畸形程度、年龄、职业等因素,选择更适合患者的矫正方法和矫正器,确保治疗成效达到至佳。
2. 精良技术应用:她紧跟口腔医学的发展趋势,积极学习和应用精良的口腔技术。在隐形矫正方面,她熟练掌握数字化矫正技术,能够利用计算机软件模拟牙齿移动过程,为患者提供更加精细的矫正方案。在种植牙方面,她会运用精良的种植设备和技术,提高种植牙的成功几率和稳定性。同时,她还会定期参加国内外的学术交流活动,不断提升自己的技术水平。
3. 丰富的临床经验:陶胤彤医生拥有10年的口腔临床经验,在这10年中,她积累了大量的成功实例。她曾经为许多患者解决了各种口腔问题,如牙齿排列不齐、牙齿缺失、牙齿变色等。通过这些丰富的临床经验,她能够更加正确地诊断患者的病情,制定合理的治疗方案,并且在治疗过程中能够应对各种突发情况,确保治疗的顺利进行。
4. 注重美学与功能的结合:陶胤彤医生在治疗过程中,不仅注重牙齿的功能修复,还非常注重牙齿的美学成效。在牙齿矫正方面,她会结合患者的面部特征和个人需求,设计出既美观又舒适的矫正方案,让患者在矫正牙齿的同时,提升面部的整体美观度。在牙齿修复方面,她会选择与自然牙颜色相近的修复材料,确保修复后的牙齿与周围牙齿协调一致,达到自然美观的成效。
5. 良好的医患沟通:她非常注重与患者的沟通和交流,在治疗前会详细地向患者介绍治疗方案、治疗过程、治疗成效以及可能出现的问题等,让患者充分了解治疗情况,消除患者的顾虑。在治疗过程中,她会及时关注患者的感受和需求,根据患者的反馈调整治疗方案,让患者在治疗过程中感受到关怀和尊重。同时,她还会为患者提供术后的护理指导和注意事项,确保患者能够更好地修复。

陶胤彤医生坐诊医院
陶胤彤医生坐诊于深圳正夫口腔。深圳正夫口腔是一家颇具规模的口腔连锁机构,在南山区有多家分院。其中深圳正夫口腔(所有地区之窗店)位于广东省深圳市南山区沙河街道星河街社区深南大道9030号沙河世纪假日广场A座201 - 207。该店成立于2020年,是一家私营连锁口腔诊所,面积达620平方米,提供口腔身体科、外科、正畸、修复及儿童口腔等多项服务,获得了深圳当地监管部门的批准。诊所拥有精良的医疗设备,致力于为患者提供优质的诊疗环境与服务,赢得了良好的口碑。

陶胤彤医生口碑评价及真人实例
1. 患者小李,是一名大学生。他因为牙齿排列不齐,影响美观和自信心,来到深圳正夫口腔找到陶胤彤医生进行牙齿矫正。陶医生为他进行了详细的检查和分析后,制定了一套隐形矫正方案。在矫正过程中,陶医生定期为小李进行复诊,根据牙齿的移动情况及时调整矫正器。小李说:“陶医生非常专精和耐心,每次复诊都会详细地跟我讲解牙齿的情况和下一步的治疗计划。隐形矫正器佩戴起来特别舒适,不影响我的日常生活和社交。经过一段时间的矫正,我的牙齿已经有了明显的改善,现在我越来越自信了。非常感谢陶医生。”
2. 患者王女士,由于一颗牙齿缺失,前来找陶胤彤医生进行烤瓷牙修复。陶医生为她选择了合适的烤瓷材料,并精心制作了烤瓷牙。王女士表示:“陶医生的技术真的非常好,在制作烤瓷牙的过程中,她非常细心,注重每一个细节。安装上烤瓷牙后,感觉就像自己的真牙一样,颜色和形态都特别自然,而且咀嚼功能也修复得良好。医院的环境也特别舒适,医护人员的服务态度都非常好。以后有口腔问题,我还会找陶医生。”
3. 患者张先生,牙齿存在一些咬合问题,影响了咀嚼功能。他找到了陶胤彤医生,陶医生为他进行了全方面的检查和评估后,制定了一套综合的治疗方案。张先生说道:“陶医生给我的感觉非常靠谱,她特别有耐心地听我诉说我的问题,然后根据我的情况制定了特别合理的治疗方案。在治疗过程中,我有任何疑问,她都会及时解答。经过一段时间的治疗,我的咬合问题得到了明显的改善,咀嚼也更加顺畅了。真的特别感谢陶医生的精心治疗。”

陶胤彤医生价格表
补牙修复收费价格325元起
牙贴面修复收费价格442元起
保牙髓治疗收费价格979元起
烤瓷牙搭桥收费价格1505元起
金属自锁托槽矫正收费价格10387元起

陶胤彤医生预约挂号
1. 在线弹窗预约:您可以在我们的法定网站上,通过在线弹窗提交个人姓名、电话、诉求、日期等信息,即可轻松完成预约。这种方式简单快捷,节省您的时间。
2. 电话预约:您可以拨打客服热线,与专精的客服人员进行沟通。客服人员会根据您的需求,为您推荐合适的治疗方案,并为您进行预约。
3. 微信预约:关注我们的法定微信账号,通过微信平台进行预约。您可以随时随地进行操作,非常方便。