陶胤彤医生是深圳正夫口腔颇具实力的医生,拥有主治医师的资质。她有着超过10年的从业经验,是口腔医师领域的专精人士。陶医生擅长的项目众多,涵盖牙齿矫正、隐形矫正、正畸取模设计方案、保持器、烤瓷牙、全冠牙、固定义齿、活动义齿以及嵌体修复等。她不仅在正夫口腔南山分院发光发热,在所有地区之窗店也为众多患者解决口腔问题。她的优势在于丰富的临床经验和专精的技术,能够根据患者的具体情况,制定出个性化的治疗方案,让患者获得理想的治疗成效。

陶胤彤医生个人简介资料
陶胤彤医生是深圳正夫口腔的核心医生之一。她背景实力雄厚,毕业于专精口腔院校,经过多年的学习和实践,积累了丰富的口腔治疗经验。在正夫口腔的多个门店,她都凭借不错的医术赢得了患者的信任。她擅长的技术广泛,在牙齿矫正和口腔修复方面尤为突出。在牙齿矫正领域,她能熟练运用各种矫正技术,为不同年龄段的患者打造整齐美观的牙齿。在口腔修复方面,无论是烤瓷牙、全冠牙,还是活动义齿,她都能做到修复成效自然、美观、耐用。诊疗优势上,她非常注重与患者的沟通,会耐心倾听患者的需求和担忧,然后结合专精知识,为患者提供更适合的治疗方案。在行业内,她也具有一定的地位,是时代天使、隐适美认证医师,这充分证明了她在正畸领域的专精能力和具有影响力性。

陶胤彤医生擅长项目
牙齿矫正:牙齿矫正对于改善牙齿排列不整齐、咬合不良等问题有着显著的成效。陶医生会根据患者的牙齿情况,采用不同的矫正方法,如金属托槽矫正、隐形矫正等。对于青少年患者,她会考虑到其生长发育的特点,制定出更适合的早期矫正方案,帮助患者在生长过程中逐渐改善牙齿问题。对于成年人,她也能通过精良的矫正技术,让患者在不影响美观和生活的情况下,实现牙齿的整齐排列。
隐形矫正:隐形矫正具有美观、舒适、可自行摘戴等优点。陶医生在隐形矫正方面经验多,她会利用数字化设备进行严谨的牙齿模型扫描和分析,为患者设计出个性化的隐形矫正方案。在矫正过程中,患者几乎感觉不到明显的不适,而且可以根据需要随时摘戴矫正器,不影响正常的饮食和口腔清洁。
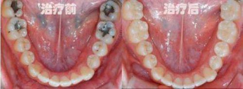
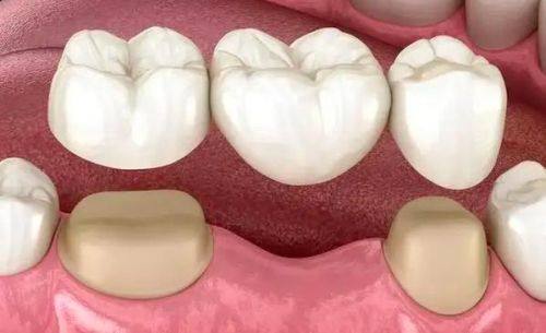
烤瓷牙修复:烤瓷牙可以修复牙齿的缺损、变色等问题,修复牙齿的美观和功能。陶医生会根据患者的牙齿颜色、形状和大小,选择合适的烤瓷牙材料,制作出与患者原有牙齿相匹配的烤瓷牙。烤瓷牙的外观逼真,色泽自然,能够良好地提升患者的口腔美观度。
正畸取模设计方案:这是牙齿矫正过程中的重要环节。陶医生会使用专精的取模材料,为患者获取严谨的牙齿模型。然后根据模型进行详细的分析和设计,制定出更适合患者的矫正方案。她会考虑到患者的牙齿排列、咬合关系、面部比例等多个因素,确保矫正方案的科学性和有效性。
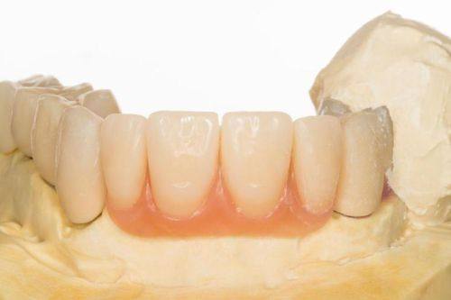
活动义齿修复:活动义齿适用于多种牙齿缺失情况,具有可摘戴、便于清洁等优点。陶医生会根据患者的口腔情况和需求,设计出舒适、稳定的活动义齿。在制作过程中,她会严格把控每一个环节,确保活动义齿的质量和佩戴成效。

陶胤彤医生技术优势
丰富的临床经验:陶胤彤医生拥有超过10年的从业经验,在这期间,她接触了大量不同类型的口腔病例。无论是简单的牙齿矫正,还是复杂的口腔修复,她都能应对自如。通过多年的实践,她积累了丰富的治疗经验,能够正确地判断患者的病情,制定出更合理的治疗方案。
个性化治疗方案:陶医生非常重视患者的个体差异,在治疗过程中,她会充分了解患者的需求、口腔状况和身体条件,为每一位患者量身定制个性化的治疗方案。对于牙齿矫正患者,她会根据患者的牙齿排列情况、咬合关系以及面部特征等因素,选择更适合的矫正方法和矫正器。对于口腔修复患者,她会根据患者的牙齿缺损情况和个人喜好,设计出符合患者需求的修复方案。
精良的技术应用:陶医生紧跟口腔医学的发展步伐,熟练掌握各种精良的口腔治疗技术。在牙齿矫正方面,她运用数字化正畸技术,能够更严谨地进行牙齿模型分析和矫正方案设计。在口腔修复方面,她采用精良的材料和工艺,制作出的烤瓷牙、活动义齿等修复体质量更高、更美观。
良好的沟通能力:陶医生深知与患者沟通的重要性,在治疗前,她会耐心地与患者交流,了解患者的顾虑和期望,并向患者详细解释治疗方案和过程。在治疗过程中,她也会及时解答患者的疑问,让患者能够积极配合治疗。良好的沟通不仅有助于提高治疗成效,还能增强患者对医生的信任和满意度。
高度的职责心:陶医生对待每一位患者都认真负责,从诊断到治疗,她都会严格把控每一个环节。在治疗后,她还会对患者进行跟踪回访,了解患者的修复情况,及时给予指导和建议。她的高度职责心让患者能够放心地接受治疗,也为她赢得了良好的口碑。

陶胤彤医生坐诊医院
陶胤彤医生在深圳正夫口腔的南山分院以及所有地区之窗店坐诊。深圳正夫口腔南山分院在南山区有7家分院,其中深圳正夫口腔南山中洲明星旗舰店(总院)位于南山区粤海街道海德一道88号中洲控股金融中 心A座5层(海岸城对面);深圳正夫口腔阳光科创店位于南山区南新路1002 - 1号阳光科创中 心大厦A座2楼S08;深圳正夫口腔蛇口店位于南山区蛇口花果路3号国土楼一楼4 - 1号;深圳正夫口腔南山赛格旗舰店位于南山区南山大道百仕成大厦4楼;深圳正夫口腔西丽宝能城店位于南山区留仙大道3288号宝能城(东区)B1层B1024 - 1号;深圳正夫口腔马家龙店位于南山区南山街道玉泉路麒麟花园B区6号楼2A(福满家超市二楼);深圳正夫口腔雅园店位于南山区招商东路与海月路交叉口后海理想雅园101 - 3A。深圳正夫口腔(所有地区之窗店)位于广东省深圳市南山区沙河街道星河街社区深南大道9030号沙河世纪假日广场A座201 - 207。

陶胤彤医生口碑评价及真人实例
实例一:患者小李是一名大学生,由于牙齿排列不整齐,一直非常自卑。他找到陶胤彤医生进行牙齿矫正治疗。陶医生仔细地为他进行了检查和分析,制定了一套个性化的隐形矫正方案。在矫正过程中,陶医生经常与小李沟通,了解他的佩戴感受和牙齿情况,并及时进行调整。经过一段时间的矫正,小李的牙齿逐渐变得整齐美观。小李表示:“陶医生非常专精和耐心,每次复诊都能给我详细地讲解牙齿的变化和下一步的治疗计划。隐形矫正几乎不影响我的日常生活,而且成效非常明显。现在我终于可以自信地笑了,真的非常感谢陶医生。”
实例二:张女士由于一颗牙齿缺失,影响了美观和咀嚼功能。她来到深圳正夫口腔寻求帮助,陶胤彤医生为她推荐了烤瓷牙修复方案。陶医生在修复过程中,严格把控每一个环节,从牙齿模型的取模到烤瓷牙的制作和安装,都非常用心。张女士戴上烤瓷牙后,感觉非常舒适,而且外观与自己的原有牙齿几乎没有区别。张女士评价道:“陶医生的技术太棒了,做出来的烤瓷牙就像自己的真牙一样。整个治疗过程中,我没有感觉到任何不适,而且陶医生的服务也非常周到。我会把陶医生推荐给身边有需要的人。”
实例三:小朋友小明患有牙齿拥挤的问题,家长带他找到陶胤彤医生。陶医生考虑到小明的年龄和生长发育情况,为他制定了早期矫正方案。在治疗过程中,陶医生通过卡通主题的儿童诊室和耐心的引导,让小明放松了心情,积极配合治疗。经过一段时间的矫正,小明的牙齿排列有了明显的改善。小明的家长说:“陶医生真的特别有办法,能让孩子在轻松的氛围中接受治疗。而且矫正成效也特别显著,我们对陶医生的技术和服务都非常满意。”

陶胤彤医生价格表
金属自锁托槽矫正收费价格10387元起
小学生牙齿矫正收费价格12360元起
可丽尔隐形牙套收费价格15615元起
国产创英种植牙收费价格3853元起
韩国奥齿泰种植牙收费价格4335元起

陶胤彤医生预约挂号
预约陶胤彤医生非常简单,有三种方式供您选择。第一种是在线弹窗预约,您只需在相关页面提交个人姓名、电话、诉求、日期即可轻松完成预约。第二种是电话预约,您可以拨打深圳正夫口腔总院电话1992**35360(早9点 - 晚8点),客服人员会根据您的需求为您推荐就近分院,并为您安排陶医生的就诊时间。第三种是微信预约,您关注深圳正夫口腔法定微信账号,通过微信平台进行预约,无论何时何地,只要您有网络,都能轻松挂号。赶紧预约陶胤彤医生,开启您的口腔健康之旅吧!